Promotional price valid on web orders only. Your contract pricing may differ. Interested in signing up for a dedicated account number?
Learn More
Learn More
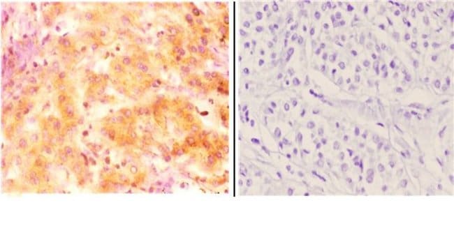
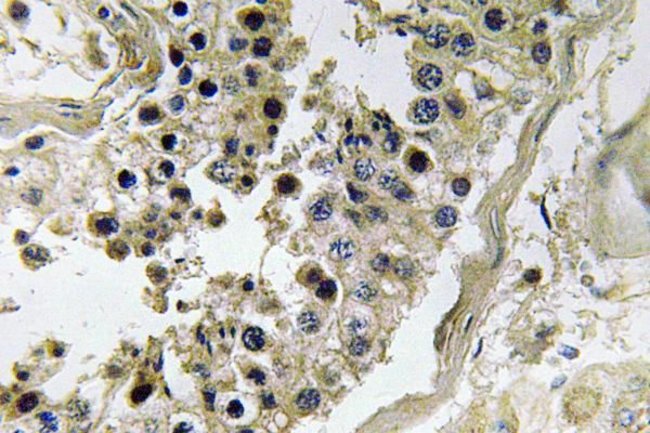
Invitrogen™ INHBC Polyclonal Antibody

Rabbit Polyclonal Antibody
Supplier: Invitrogen™ PA536525
Description
This antibody detects endogenous protein at a molecular weight of 30 kDa. Purity is >95% by SDS-PAGE.
Inhibins and activins are involved in regulating a number of functions such as hypothalamic and pituitary hormone secretion, gonadal hormone secretion, germ cell development and maturation, erythroid differentiation, insulin secretion, nerve cell survival, embryonic axial development or bone growth depending on their subunit composition. Activins oppose the funtions of inhibins. Inhibins are predominantly expressed in liver, uterus and ovary tissue, but also in benign prostatic hyperplasia. Inhibin A, a dimer of alpha and beta-A, and inhibin B, a dimer of alpha and beta-B, have been shown to inhibit the secretion of follicle stimulating hormone. Inhibin beta-C forms a homodimer and its expression is predominant in adult liver and in benign prostatic hyperplasia.
Specifications
| INHBC | |
| Polyclonal | |
| Unconjugated | |
| INHBC | |
| activin beta-C chain; activin/inhibin beta C; IHBC; Inhbc; inhibin beta C; inhibin beta C chain; inhibin beta C subunit; inhibin beta-C; inhibin, beta C | |
| Rabbit | |
| Antigen affinity chromatography | |
| RUO | |
| 3626 | |
| Store at 4°C short term. For long term storage, store at -20°C, avoiding freeze/thaw cycles. | |
| Liquid |
| Immunohistochemistry (Paraffin), Western Blot | |
| 1 mg/mL | |
| PBS with 50% glycerol and 0.02% sodium azide; pH 7.2 | |
| P55103 | |
| INHBC | |
| Synthetic peptide corresponding to amino acids 100-150 of human Inhibin beta-C. | |
| 100 μL | |
| Primary | |
| Human | |
| Antibody | |
| IgG |
Product Content Correction
Your input is important to us. Please complete this form to provide feedback related to the content on this product.
Product Title
Spot an opportunity for improvement?Share a Content Correction