Promotional price valid on web orders only. Your contract pricing may differ. Interested in signing up for a dedicated account number?
Learn More
Learn More
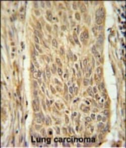
Invitrogen™ INMT Polyclonal Antibody

Rabbit Polyclonal Antibody
Supplier: Invitrogen™ PA525390
Description
INMT Polyclonal Antibody for Western Blot, IHC (P)
N-methylation of endogenous and xenobiotic compounds is a major method by which they are degraded. This gene encodes an enzyme that N-methylates indoles such as tryptamine.
Specifications
INMT | |
Polyclonal | |
Unconjugated | |
INMT | |
Amine N-methyltransferase; aromatic alkylamine N-methyltransferase; arylamine N-methyltransferase; indolamine N-methyltransferase; Indolethylamine N-methyltransferase; Inmt; nicotine N-methyltransferase; Temt; Thioether S-methyltransferase | |
Rabbit | |
Antigen affinity chromatography, Protein A | |
RUO | |
11185, 21743 | |
Store at 4°C short term. For long term storage, store at -20°C, avoiding freeze/thaw cycles. | |
Liquid |
Immunohistochemistry (Paraffin), Western Blot | |
0.5 mg/mL | |
PBS with 0.09% sodium azide; pH 7.4 | |
O95050, P40936 | |
INMT | |
KLH conjugated synthetic peptide between 101-128 amino acids from the central region of human INMT. | |
400 μL | |
Primary | |
Human, Mouse | |
Antibody | |
IgG |
Product Content Correction
Your input is important to us. Please complete this form to provide feedback related to the content on this product.
Product Title
Spot an opportunity for improvement?Share a Content Correction