Promotional price valid on web orders only. Your contract pricing may differ. Interested in signing up for a dedicated account number?
Learn More
Learn More
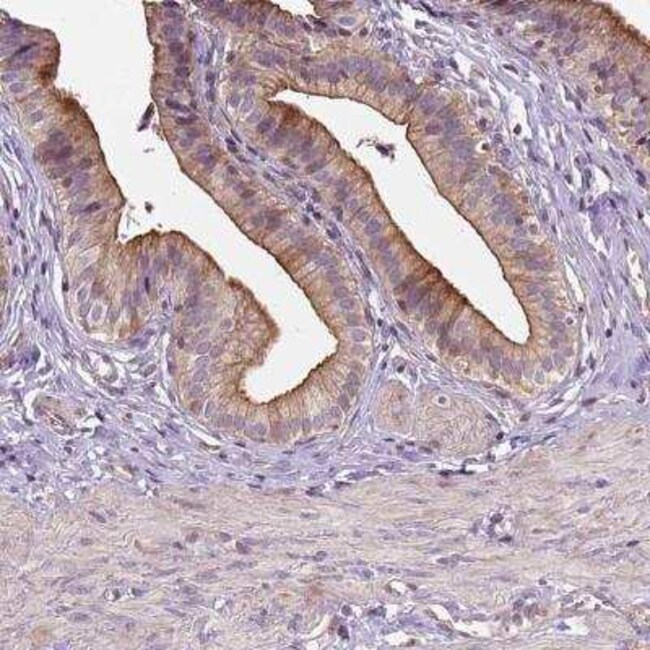
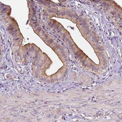
INPP5E Antibody, Novus Biologicals™

Rabbit Polyclonal Antibody
Supplier: Novus Biologicals NBP24946325UL
Description
INPP5E Polyclonal antibody specifically detects INPP5E in Human samples. It is validated for Immunohistochemistry, Immunohistochemistry (Paraffin)Specifications
INPP5E | |
Polyclonal | |
Immunohistochemistry 1:50 - 1:200, Immunohistochemistry-Paraffin 1:50 - 1:200 | |
CORS172 kDa inositol polyphosphate 5-phosphatase, CPD4, EC 3.1.3.36, inositol polyphosphate-5-phosphatase, 72 kDa, JBTS1, Joubert syndrome 1, MGC117201, MORMS, phosphatidylinositol (4,5) bisphosphate 5-phosphatase, Phosphatidylinositol polyphosphate 5-phosphatase type IV, Phosphatidylinositol-4,5-bisphosphate 5-phosphatase, PPI5PIV | |
This antibody was developed against a recombinant protein corresponding to amino acids: GKDTYDSTSKQRTPSYTDRVLYRSRHKGDICPVSYSSCPGIKTSDHRPVYGLFRVKVRPGRDNIPLAAGKFDRELYLLGIKRRISKEIQRQQALQSQNSSTICSVS | |
25 μL | |
Lipid and Metabolism | |
56623 | |
Store at 4°C short term. Aliquot and store at -20°C long term. Avoid freeze-thaw cycles. | |
IgG |
Immunohistochemistry, Immunohistochemistry (Paraffin) | |
Unconjugated | |
PBS (pH 7.2), 40% Glycerol | |
Rabbit | |
Immunogen affinity purified | |
RUO | |
Primary | |
Human | |
Purified |
Product Content Correction
Your input is important to us. Please complete this form to provide feedback related to the content on this product.
Product Title
Spot an opportunity for improvement?Share a Content Correction