Promotional price valid on web orders only. Your contract pricing may differ. Interested in signing up for a dedicated account number?
Learn More
Learn More
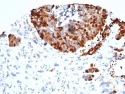
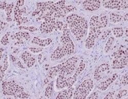
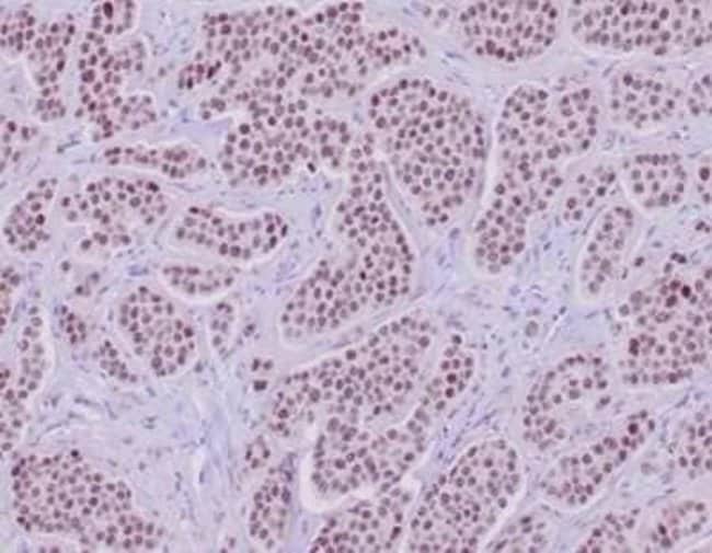
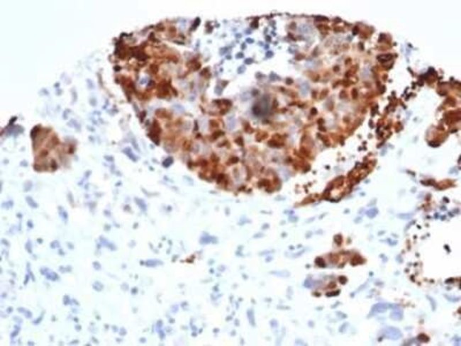
INSM1 Rabbit anti-Human, Clone: INSM1/6286R, Novus Biologicals™

Rabbit Monoclonal Antibody
$275.50 - $527.00
Specifications
Antigen | INSM1 |
---|---|
Clone | INSM1/6286R |
Concentration | 0.2 mg/ml |
Dilution | Immunohistochemistry-Paraffin 1-2 ug/ml |
Applications | Immunohistochemistry (Paraffin) |
Description
INSM1 Monoclonal antibody specifically detects INSM1 in Human samples. It is validated for Immunohistochemistry (Paraffin)Specifications
INSM1 | |
0.2 mg/ml | |
Immunohistochemistry (Paraffin) | |
Unconjugated | |
Rabbit | |
Cancer | |
10 mM PBS with 0.05% BSA | |
IA1IA-1, insulinoma-associated 1, insulinoma-associated protein 1, Zinc finger protein IA-1 | |
Recombinant fragment (around aa81-125) corresponding to the N-terminus of human INSM1 (Uniprot: Q01101 ) | |
Primary | |
Store at 4°C. |
INSM1/6286R | |
Immunohistochemistry-Paraffin 1-2 ug/ml | |
Monoclonal | |
Purified | |
RUO | |
Human | |
Q01101 | |
3642 | |
IgG | |
Protein A or G purified |
Spot an opportunity for improvement?Share a Content Correction
Product Content Correction
Your input is important to us. Please complete this form to provide feedback related to the content on this product.
Product Title