Promotional price valid on web orders only. Your contract pricing may differ. Interested in signing up for a dedicated account number?
Learn More
Learn More
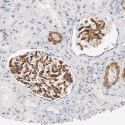
Integrin alpha 8 Antibody, Novus Biologicals™

Rabbit Polyclonal Antibody has been used in 1 publication
Supplier: Novus Biologicals NBP186519
Description
Integrin alpha 8 Polyclonal specifically detects Integrin alpha 8 in Human samples. It is validated for Immunohistochemistry, Immunohistochemistry-Paraffin.Specifications
Integrin alpha 8 | |
Polyclonal | |
Unconjugated | |
PBS (pH 7.2) and 40% Glycerol with 0.02% Sodium Azide | |
integrin alpha-8, integrin, alpha 8 | |
Rabbit | |
Affinity Purified | |
RUO | |
8516 | |
Human | |
IgG |
Immunohistochemistry, Immunohistochemistry (Paraffin) | |
0.1mg/mL | |
Immunohistochemistry, Immunohistochemistry-Paraffin 1:50 - 1:200 | |
P53708 | |
ITGA8 | |
This antibody was developed against Recombinant Protein corresponding to amino acids:HKEEEVGPLVEHIYELHNIGPSTISDTILEVGWPFSARDEFLLYIFHIQTLGPLQCQPNPNINPQDIKPAASPEDTPELSAFLRNSTIPHLVRKRDVHVVEFHRQSPAKILNCTNIECLQISCA | |
0.1 mL | |
Primary | |
Specificity of antibody verified on a Protein Array containing target protein plus 383 other non-specific proteins. | |
Store at 4C short term. Aliquot and store at -20C long term. Avoid freeze-thaw cycles. |
Product Content Correction
Your input is important to us. Please complete this form to provide feedback related to the content on this product.
Product Title
For Research Use Only
Spot an opportunity for improvement?Share a Content Correction