Promotional price valid on web orders only. Your contract pricing may differ. Interested in signing up for a dedicated account number?
Learn More
Learn More
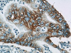
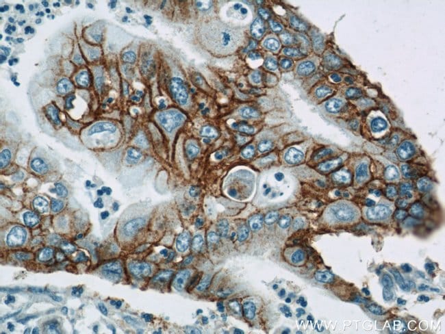
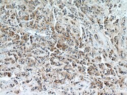
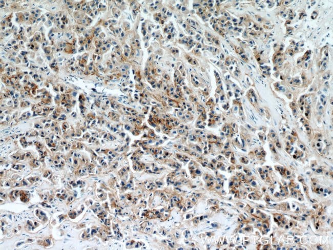
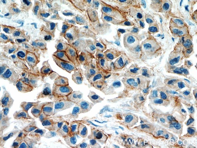
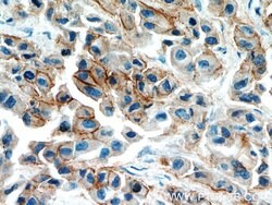
Integrin beta-4 Rabbit anti-Human, Mouse, Rat, Polyclonal, Proteintech

Rabbit Polyclonal Antibody
Supplier: Proteintech Group Inc 217381AP150UL

Description
Protein kinases comprise a large group of encoded factors that regulate cellular processes by catalyzing the transfer of a phosphate group to a hydroxyl acceptor in serine, threonine or tyrosine residues. Myotonic dystrophy kinaserelated Cdc42-binding (DMPK-like) kinases-alpha and beta (MRCK-alpha, beta) contain a cysteine-rich motif and a putative pleckstrin homology domain. MRCKs can phosphorylate nonmuscle Myosin light chain and influences Actin-Myosin contractility. MRCK-alpha can phosphorylate and activate LIM kinases downstream of Cdc42, which leads to inactivation of ADF/Cofilin and to Actin cytoskeletal reorganization. MRCK-alpha can also influence neurite outgrowth promoted by Cdc42 and Rac.Specifications
Integrin beta-4 | |
Polyclonal | |
Unconjugated | |
ITGB4 | |
CD104, GP150, Integrin beta 4, integrin, beta 4, ITGB4 | |
Rabbit | |
Antigen Affinity Chromatography | |
RUO | |
192897, 25724, 3691 | |
-20°C | |
Liquid |
Flow Cytometry, Immunohistochemistry (Paraffin), Immunoprecipitation, Western Blot | |
0.26 mg/mL | |
PBS with 50% glycerol and 0.02% sodium azide; pH 7.3 | |
A2A863, P16144, Q64632 | |
ITGB4 | |
Integrin beta-4 Fusion Protein Ag16450 | |
150 μL | |
Primary | |
Human, Mouse, Rat | |
Antibody | |
IgG |
Product Content Correction
The Fisher Scientific Encompass Program offers items which are not part of our distribution portfolio. These products typically do not have pictures or detailed descriptions. However, we are committed to improving your shopping experience. Please use the form below to provide feedback related to the content on this product.
Product Title
Spot an opportunity for improvement?Share a Content Correction