Learn More
Invitrogen™ IQGAP1 Recombinant Rabbit Monoclonal Antibody (7I6X1)

Description
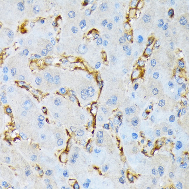
Positive test controls include: U-87MG, Mouse lung. The target is usually found in the following locations: Cell membrane. Immunogen sequence: MSAADEVDGL GVARPHYGSV LDNERLTAEE MDERRRQNVA YEYLCHLEEA KRWMEACLGE DLPPTTELEE GLRNGVYLAK LGNFFSPKVV SLKKIYDREQ.
Specifications
Specifications
| Antigen | IQGAP1 |
| Applications | ELISA, Immunohistochemistry (Paraffin), Western Blot |
| Classification | Recombinant Monoclonal |
| Clone | 7I6X1 |
| Concentration | 0.35 mg/mL |
| Conjugate | Unconjugated |
| Formulation | PBS with 0.05% BSA, 50% glycerol and 0.02% sodium azide; pH 7.3 |
| Gene | IQGAP1 |
| Gene Accession No. | P46940, Q9JKF1 |
| Gene Alias | AA682088; Cdc42-Rac1 effector protein; D7Ertd237e; D7Ertd257e; DISP2; DISPB; HUMORFA01; IQ motif containing GTPase activating protein 1; IQGAP1; KIAA0051; mKIAA0051; p195; Ras GTPase-activating-like protein IQGAP1; RasGAP-like with IQ motifs; SAR1 |
| Show More |
Safety and Handling
By clicking Submit, you acknowledge that you may be contacted by Fisher Scientific in regards to the feedback you have provided in this form. We will not share your information for any other purposes. All contact information provided shall also be maintained in accordance with our Privacy Policy.