Promotional price valid on web orders only. Your contract pricing may differ. Interested in signing up for a dedicated account number?
Learn More
Learn More
Invitrogen™ IQGAP1 Recombinant Rabbit Monoclonal Antibody (JG38-74)

Rabbit Recombinant Monoclonal Antibody
Supplier: Invitrogen™ MA534789
Description
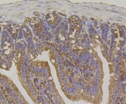
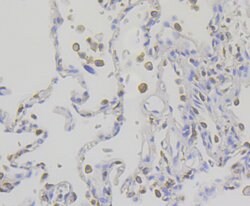
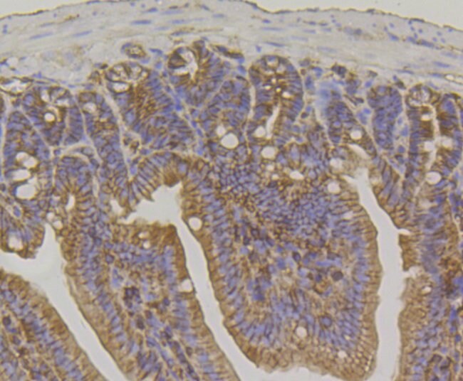
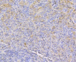
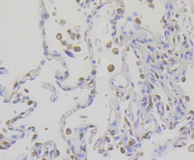
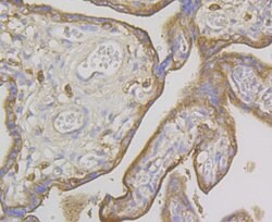
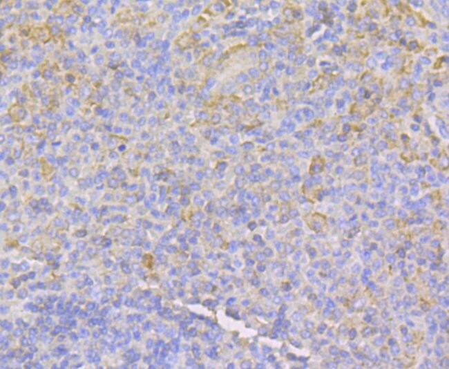
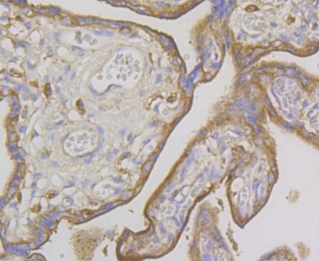
Positive Control: HUVEC, A431, mouse placenta tissue lysate, Hela, SiHa, human lung cancer tissue, human spleen tissue, human placenta tissue, mouse colon tissue.
This gene encodes a member of the IQGAP family. The protein contains four IQ domains, one calponin homology domain, one Ras-GAP domain and one WW domain. It interacts with components of the cytoskeleton, with cell adhesion molecules, and with several signaling molecules to regulate cell morphology and motility. Expression of the protein is upregulated by gene amplification in two gastric cancer cell lines.
Specifications
IQGAP1 | |
Recombinant Monoclonal | |
1 mg/mL | |
TBS with 0.05% BSA, 40% glycerol and 0.05% sodium azide; pH 7.4 | |
P46940, Q9JKF1 | |
IQGAP1 | |
Recombinant protein within Human IQGAP1 aa 10-100. | |
100 μL | |
Primary | |
Human, Mouse | |
Antibody | |
IgG |
Flow Cytometry, Immunohistochemistry (Paraffin), Western Blot, Immunocytochemistry | |
JG38-74 | |
Unconjugated | |
IQGAP1 | |
AA682088; Cdc42-Rac1 effector protein; D7Ertd237e; D7Ertd257e; DISP2; DISPB; HUMORFA01; IQ motif containing GTPase activating protein 1; IQGAP1; KIAA0051; mKIAA0051; p195; Ras GTPase-activating-like protein IQGAP1; RasGAP-like with IQ motifs; SAR1 | |
Rabbit | |
Protein A | |
RUO | |
29875, 8826 | |
-20°C, Avoid Freeze/Thaw Cycles, store in dark | |
Liquid |
Product Content Correction
Your input is important to us. Please complete this form to provide feedback related to the content on this product.
Product Title
Spot an opportunity for improvement?Share a Content Correction