Promotional price valid on web orders only. Your contract pricing may differ. Interested in signing up for a dedicated account number?
Learn More
Learn More
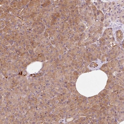
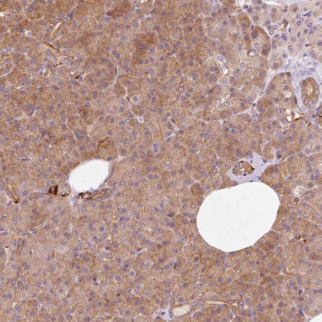
Invitrogen™ IQGAP2 Polyclonal Antibody

Rabbit Polyclonal Antibody
Supplier: Invitrogen™ PA557939
Description
Immunogen sequence: AIGLNNLDKA YVERYANTLL SVKLEVLSQG QDNLSWNEIQ NCIDMVNAQI QEENDRVVAV GYINEAIDEG N Highest antigen sequence identity to the following orthologs: Mouse - 77%, Rat - 77%.
Binds to activated CDC42 and RAC1 but does not seem to stimulate their GTPase activity. Associates with calmodulin.
Specifications
| IQGAP2 | |
| Polyclonal | |
| Unconjugated | |
| IQGAP2 | |
| 4933417J23Rik; A630053O10; AI788777; IQ motif containing GTPase activating protein 2; Iqgap2; Ras GTPase-activating-like protein IQGAP2 | |
| Rabbit | |
| Antigen affinity chromatography | |
| RUO | |
| 10788 | |
| Store at 4°C short term. For long term storage, store at -20°C, avoiding freeze/thaw cycles. | |
| Liquid |
| Immunohistochemistry (Paraffin) | |
| 0.7 mg/mL | |
| PBS with 40% glycerol and 0.02% sodium azide; pH 7.2 | |
| Q13576 | |
| IQGAP2 | |
| Recombinant protein corresponding to Human IQGAP2. Recombinant protein control fragment (Product #RP-102762). | |
| 100 μL | |
| Primary | |
| Human | |
| Antibody | |
| IgG |
Product Content Correction
Your input is important to us. Please complete this form to provide feedback related to the content on this product.
Product Title
Spot an opportunity for improvement?Share a Content Correction