Promotional price valid on web orders only. Your contract pricing may differ. Interested in signing up for a dedicated account number?
                
Learn More
Learn More
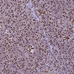
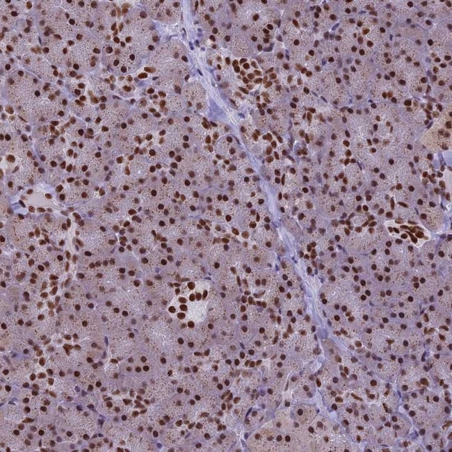
                                    Invitrogen™ IRF2BP1 Polyclonal Antibody
 
                                    
                                    
                                    
                                    
                                
                            
                            
                            
                            
Rabbit Polyclonal Antibody
Supplier: Invitrogen™ PA559898
Description
Immunogen sequence: LGSMPGLMPP GLLAAAVSGL GSRGLTLAPG LSPARPLFGS DFEKEKQQRN ADCLAELNEA MRGRAEEWHG RPKAVREQL Highest antigen sequence identity to the following orthologs: Mouse - 95%, Rat - 95%.
IRF2BP1 acts as a transcriptional repressor. IRF2BP1 also acts as a transcriptional corepressor in a IRF2-dependent manner. This repression is not mediated at least in part by histone deacetylase activities. 
            Specifications
| IRF2BP1 | |
| Polyclonal | |
| Unconjugated | |
| Irf2bp1 | |
| 6330414O09Rik; C530033F24; DKFZP434M154; interferon regulatory factor 2 binding protein 1; interferon regulatory factor 2-binding protein 1; IRF-2-binding protein 1; IRF2BP1; IRF-2BP1; Probable E3 ubiquitin-protein ligase IRF2BP1; Probable RING-type E3 ubiquitin transferase IRF2BP1 | |
| Rabbit | |
| Antigen affinity chromatography | |
| RUO | |
| 26145 | |
| Store at 4°C short term. For long term storage, store at -20°C, avoiding freeze/thaw cycles. | |
| Liquid | 
| Immunohistochemistry (Paraffin), Western Blot | |
| 1 mg/mL | |
| PBS with 40% glycerol and 0.02% sodium azide; pH 7.2 | |
| Q8IU81 | |
| Irf2bp1 | |
| Recombinant protein corresponding to Human IRF2BP1. Recombinant protein control fragment (Product #RP-99170). | |
| 100 μL | |
| Primary | |
| Human | |
| Antibody | |
| IgG | 
Safety and Handling
                                                    
                                                    WARNING: Cancer - www.P65Warnings.ca.gov 
                                                
                                            
                                        
                                    
                                
                    Product Content Correction
                
                Your input is important to us. Please complete this form to provide feedback related to the content on this product.
Product Title
			
            Spot an opportunity for improvement?Share a Content Correction
            