Learn More
Invitrogen™ IRF4 Polyclonal Antibody

Description
Immunogen sequence: SNDFEELVER SQLDISDPYK VYRIVPEGAK KGAKQLTLED PQMSMSHPYT MTTPYPSLPA QQVHNYMMPP LDRSWRDYVP DQPHPEIPYQ CPMTFGPRGH HWQGPACENG CQVTGTFYAC APPE Highest antigen sequence indentity to the following orthologs: Mouse - 90%, Rat - 90%.
Specifications
Specifications
| Antigen | IRF4 |
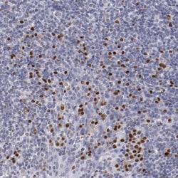
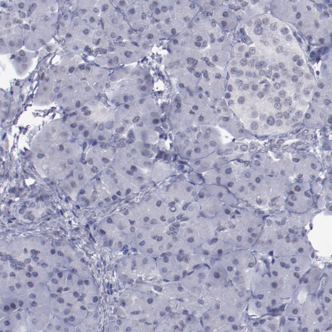
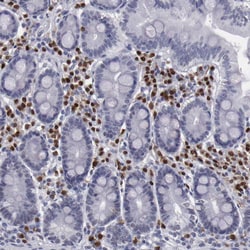
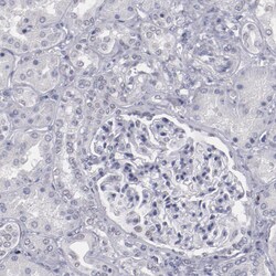
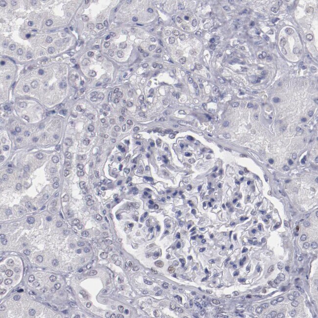
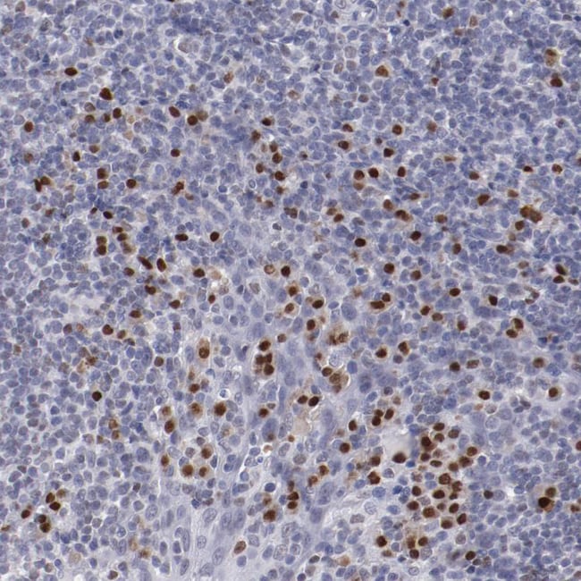
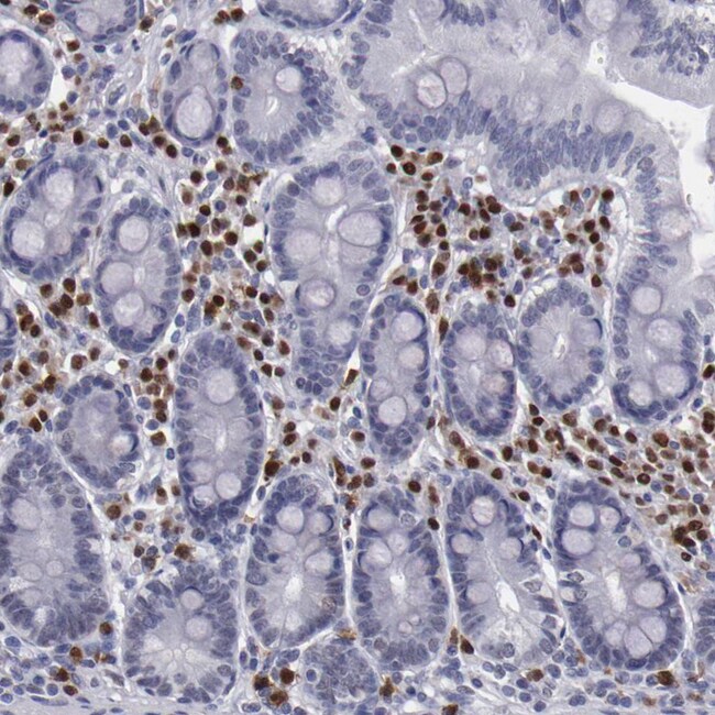
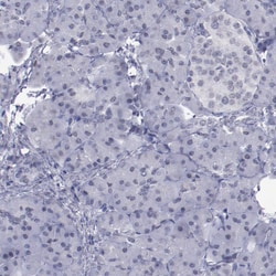
| Applications | Immunohistochemistry (Paraffin), Western Blot |
| Classification | Polyclonal |
| Concentration | 0.1 mg/mL |
| Conjugate | Unconjugated |
| Formulation | PBS with 40% glycerol and 0.02% sodium azide; pH 7.2 |
| Gene | IRF4 |
| Gene Accession No. | Q15306 |
| Gene Alias | AI385587; interferon regulatory factor 4; Irf4; IRF-4; LSIRF; Lymphocyte-specific interferon regulatory factor; multiple myeloma oncogene 1; MUM1; NF-EM5; PU.1 interaction partner; Sfpi1/PU.1 interaction partner; SHEP8; Spip; Transcriptional activator PIP |
| Gene Symbols | IRF4 |
| Show More |
By clicking Submit, you acknowledge that you may be contacted by Fisher Scientific in regards to the feedback you have provided in this form. We will not share your information for any other purposes. All contact information provided shall also be maintained in accordance with our Privacy Policy.