Learn More
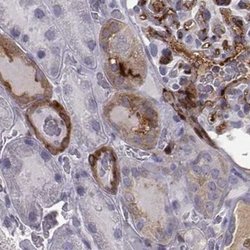
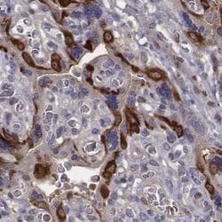
Invitrogen™ ISYNA1 Polyclonal Antibody

Description
Immunogen sequence: VYIPEFIAAN QSARADNLIP GSRAQQLEQI RRDIRDFRSS AGLDKVIVLW TANTERFCEV IPGLNDTAEN LLRTIELGLE VSPSTLFAVA SILEGCAFLN GSPQNTLVP Highest antigen sequence identity to the following orthologs: Mouse - 93%, Rat - 94%.
Specifications
Specifications
| Antigen | ISYNA1 |
| Applications | Immunohistochemistry (Paraffin), Western Blot |
| Classification | Polyclonal |
| Concentration | 0.2 mg/mL |
| Conjugate | Unconjugated |
| Formulation | PBS with 40% glycerol and 0.02% sodium azide; pH 7.2 |
| Gene | ISYNA1 |
| Gene Accession No. | Q9NPH2 |
| Gene Alias | 1300017C10Rik; AU018670; hINO1; Ino1; INOS; Inositol-3-phosphate synthase 1; IPS; IPS 1; IPS-1; Isyna1; MGC133800 protein; MI-1-P synthase; MIP synthase; Myo-inositol 1-phosphate synthase; Myo-inositol 1-phosphate synthase A1; myo-inositol-1-phosphate synthase; testis secretory sperm-binding protein Li 200a |
| Gene Symbols | ISYNA1 |
| Show More |
By clicking Submit, you acknowledge that you may be contacted by Fisher Scientific in regards to the feedback you have provided in this form. We will not share your information for any other purposes. All contact information provided shall also be maintained in accordance with our Privacy Policy.