Promotional price valid on web orders only. Your contract pricing may differ. Interested in signing up for a dedicated account number?
Learn More
Learn More
ITFG2 Monoclonal Antibody (OTI 3B3), TrueMAB™, OriGene

Mouse Monoclonal Antibody
Supplier: OriGene TA503052S
Description
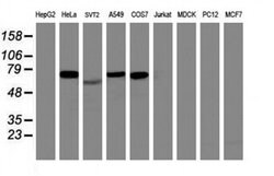
ITFG2 Monoclonal antibody specifically detects ITFG2 in Human samples. It is validated for Flow Cytometry, Immunocytochemistry, Western BlotSpecifications
| ITFG2 | |
| Monoclonal | |
| 0.33 mg/mL | |
| PBS with 1% BSA, 50% glycerol and 0.02% sodium azide | |
| Q969R8 | |
| Mouse | |
| Affinity chromatography | |
| RUO | |
| 55846 | |
| -20° C, Avoid Freeze/Thaw Cycles | |
| IgG1 |
| Flow Cytometry, Immunocytochemistry, Western Blot | |
| OTI 3B3 | |
| Unconjugated | |
| ITFG2 | |
| 2700050P07Rik; AI646725; integrin alpha FG-GAP repeat containing 2; integrin-alpha FG-GAP repeat-containing protein 2; integrin-alpha FG-GAP repeat-containing protein 2; KICSTOR complex protein ITFG2; ITFG2; KICSTOR complex protein ITFG2; MDS028; RGD1311944 | |
| Full length human recombinant protein of human ITFG2 produced in HEK293T cell. | |
| 30 μL | |
| Primary | |
| Human | |
| Liquid |
Product Content Correction
The Fisher Scientific Encompass Program offers items which are not part of our distribution portfolio. These products typically do not have pictures or detailed descriptions. However, we are committed to improving your shopping experience. Please use the form below to provide feedback related to the content on this product.
Product Title
Spot an opportunity for improvement?Share a Content Correction