Promotional price valid on web orders only. Your contract pricing may differ. Interested in signing up for a dedicated account number?
Learn More
Learn More
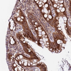
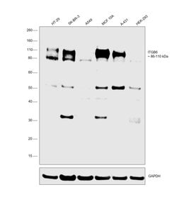
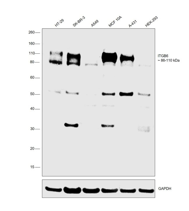
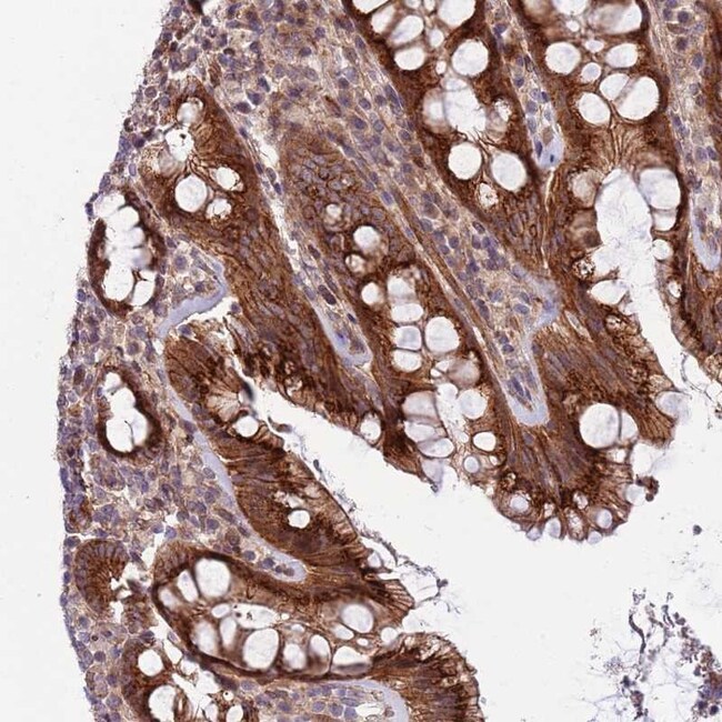
Invitrogen™ ITGB6 Polyclonal Antibody

Rabbit Polyclonal Antibody
Supplier: Invitrogen™ PA554848
Description
Immunogen sequence: RGDCVCGKCV CTNPGASGPT CERCPTCGDP CNSKRSCIEC HLSAAGQARE ECVDKCKLAG ATISEEEDFS KDGSVSCSLQ GENECLITFL ITTDNEGKTI IHSI Highest antigen sequence identity to the following orthologs: Mouse - 90%, Rat - 88%.
ITGB6 (Integrin alpha-V/beta-6) is a receptor for fibronectin and cytotactin. It recognizes the sequence R-G-D in its ligands. Internalization of integrin alpha-V/beta-6 via clathrin-mediated endocytosis promotes carcinoma cell invasion.
Specifications
| ITGB6 | |
| Polyclonal | |
| Unconjugated | |
| Itgb6 | |
| 2210409C20Rik; 4831415H04Rik; AI1H; integrin beta 6; integrin beta-6; integrin subunit beta 6; integrin, beta 6; Itgb6 | |
| Rabbit | |
| Antigen Affinity Chromatography | |
| RUO | |
| 3694 | |
| Store at 4°C short term. For long term storage, store at -20°C, avoiding freeze/thaw cycles. | |
| Liquid |
| Immunohistochemistry (Paraffin), Western Blot, Immunocytochemistry | |
| 0.2 mg/mL | |
| PBS with 40% glycerol and 0.02% sodium azide; pH 7.2 | |
| P18564 | |
| Itgb6 | |
| Recombinant protein corresponding to Human ITGB6. Recombinant protein control fragment (Product #RP-88623). | |
| 100 μL | |
| Primary | |
| Human | |
| Antibody | |
| IgG |
Safety and Handling
WARNING: Cancer - www.P65Warnings.ca.gov
Product Content Correction
Your input is important to us. Please complete this form to provide feedback related to the content on this product.
Product Title
Spot an opportunity for improvement?Share a Content Correction