Promotional price valid on web orders only. Your contract pricing may differ. Interested in signing up for a dedicated account number?
Learn More
Learn More
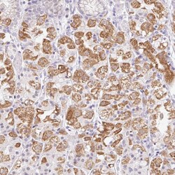
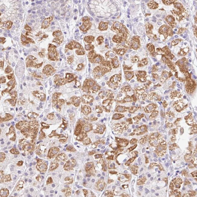
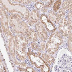
Invitrogen™ ITPK1 Polyclonal Antibody

Rabbit Polyclonal Antibody
Supplier: Invitrogen™ PA563091
Description
Immunogen sequence: FTDLLNHIAT VLQGQSTAMA ATGDVALLRH SKLLAEPAGG LVGERTCSAS PGCCGSMMGQ DAPWKAEADA GGTAKLPHQR LGC Highest antigen sequence identity to the following orthologs: Mouse - 76%, Rat - 76%.
ITPK1 encodes an enzyme that belongs to the inositol 1,3,4-trisphosphate 5/6-kinase family. This enzyme regulates the synthesis of inositol tetraphosphate, and downstream products, inositol pentakisphosphate and inositol hexakisphosphate. Inositol metabolism plays a role in the development of the neural tube. Disruptions in this gene are thought to be associated with neural tube defects. A pseudogene of this gene has been identified on chromosome X.
Specifications
ITPK1 | |
Polyclonal | |
Unconjugated | |
ITPK1 | |
BC031182; inositol 1,3,4-triphosphate 5/6 kinase; inositol 1,3,4-trisphosphate 5/6-kinase; Inositol-tetrakisphosphate 1-kinase; inositol-triphosphate 5/6-kinase; ins(1,3,4)P(3) 5/6-kinase; ITPK1; ITRPK1 | |
Rabbit | |
Antigen Affinity Chromatography | |
RUO | |
3705 | |
Store at 4°C short term. For long term storage, store at -20°C, avoiding freeze/thaw cycles. | |
Liquid |
Immunohistochemistry (Paraffin), Western Blot, Immunocytochemistry | |
0.7 mg/mL | |
PBS with 40% glycerol and 0.02% sodium azide; pH 7.2 | |
Q13572 | |
ITPK1 | |
Recombinant protein corresponding to Human ITPK1. Recombinant protein control fragment (Product #RP-101149). | |
100 μL | |
Primary | |
Human | |
Antibody | |
IgG |
Product Content Correction
Your input is important to us. Please complete this form to provide feedback related to the content on this product.
Product Title
Spot an opportunity for improvement?Share a Content Correction