Promotional price valid on web orders only. Your contract pricing may differ. Interested in signing up for a dedicated account number?
Learn More
Learn More
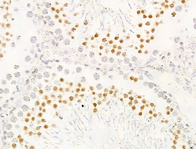
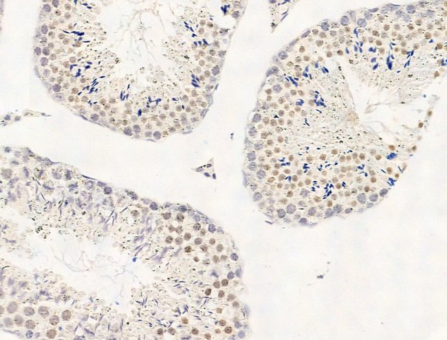
Invitrogen™ JARID1C Polyclonal Antibody

Rabbit Polyclonal Antibody
Supplier: Invitrogen™ PA5115462
Description
Antibody detects endogenous levels of total KDM5C / Jarid1C / SMCX.
Serine/threonine kinase which acts as a negative regulator of Ras-related Rap2-mediated signal transduction to control neuronal structure and AMPA receptor trafficking. Required for normal synaptic density, dendrite complexity, as well as surface AMPA receptor expression in hippocampal neurons. Can activate the JNK and MAPK14/p38 pathways and mediates stimulation of the stress-activated protein kinase MAPK14/p38 MAPK downstream of the Raf/ERK pathway. Phosphorylates: TANC1 upon stimulation by RAP2A, MBP and SMAD1. Has an essential function in negative selection of thymocytes, perhaps by coupling NCK1 to activation of JNK1.; Isoform 4 can activate the JNK pathway. Involved in the regulation of actin cytoskeleton reorganization, cell-matrix adhesion, cell-cell adhesion and cell migration.
Specifications
| JARID1C | |
| Polyclonal | |
| Unconjugated | |
| KDM5C | |
| D930009K15Rik; DXS1272E; Histone demethylase JARID1C; JARID1C; JmjC domain-containing protein SMCX; jumonji, AT rich interactive domain 1C (Rbp2 like); Jumonji, AT rich interactive domain 1C (RBP2-like); Jumonji/ARID domain-containing protein 1C; KDM5C; Kiaa0234; lysine (K)-specific demethylase 5C; lysine demethylase 5C; lysine-specific demethylase 5C; mKIAA0234; MRX13; MRXJ; MRXSCJ; MRXSJ; Protein SmcX; Protein Xe169; RGD1560601; sele; selected mouse cDNA on the X; SMCX; Smcx homolog, X chromosome; Smcy homolog, X-linked; XE169 | |
| Rabbit | |
| Affinity chromatography | |
| RUO | |
| 20591, 317432, 8242 | |
| -20°C | |
| Liquid |
| Immunohistochemistry (Paraffin), Western Blot | |
| 1 mg/mL | |
| PBS with 50% glycerol and 0.02% sodium azide | |
| P41229, P41230 | |
| KDM5C | |
| A synthesized peptide derived from human KDM5C(Accession P41229), corresponding to amino acid residues L1440-E1490. | |
| 100 μL | |
| Primary | |
| Human, Mouse, Rat | |
| Antibody | |
| IgG |
Safety and Handling
WARNING: Cancer - www.P65Warnings.ca.gov
Product Content Correction
Your input is important to us. Please complete this form to provide feedback related to the content on this product.
Product Title
Spot an opportunity for improvement?Share a Content Correction