Promotional price valid on web orders only. Your contract pricing may differ. Interested in signing up for a dedicated account number?
Learn More
Learn More
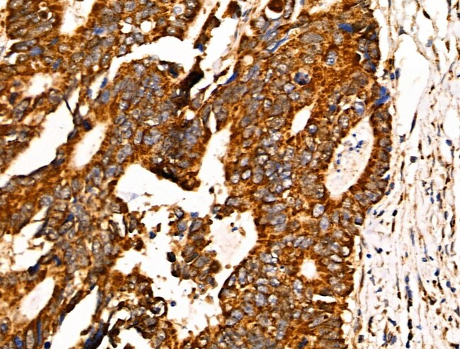
Invitrogen™ JM4 Polyclonal Antibody

Rabbit Polyclonal Antibody
Supplier: Invitrogen™ PA5104455
Description
Antibody detects endogenous levels of total JM4.
JM4 is a 19 kDa four-transmembrane protein binding to the CCR5 receptor. It plays a role in the regulation of intracellular protein transport. It is expressed in normal brain, small intestine, lung, spleen, and pancreas and has also been detected in tumors of breast, colon, lung, and ovary.
Specifications
JM4 | |
Polyclonal | |
Unconjugated | |
PRAF2 | |
AA986329; C78013; DXImx39e; Jena-Muenchen 4; JM4; PRA1 domain family 2; PRA1 domain family member 2; PRA1 domain family, member 2; PRA1 family protein 2; Praf2; RGD1566287; Sfc20; Yip6a | |
Rabbit | |
Affinity chromatography | |
RUO | |
11230, 367743, 54637 | |
-20°C | |
Liquid |
Immunohistochemistry (Paraffin), Western Blot, Immunocytochemistry | |
1 mg/mL | |
PBS with 50% glycerol and 0.02% sodium azide; pH 7.4 | |
O60831, Q9JIG8 | |
PRAF2 | |
A synthesized peptide derived from human PRAF2(Accession O60831), corresponding to amino acid residues K146-S178. | |
100 μL | |
Primary | |
Human, Mouse, Rat | |
Antibody | |
IgG |
Safety and Handling
WARNING: Cancer - www.P65Warnings.ca.gov
Product Content Correction
Your input is important to us. Please complete this form to provide feedback related to the content on this product.
Product Title
Spot an opportunity for improvement?Share a Content Correction