Promotional price valid on web orders only. Your contract pricing may differ. Interested in signing up for a dedicated account number?
Learn More
Learn More
JP45/JSRP1 Rabbit anti-Human, Polyclonal, Proteintech

Rabbit Polyclonal Antibody
Supplier: Proteintech Group Inc 108541AP150UL

Description
The junction between the transverse tubules (T-tubules) and the sarcoplasmic reticulum (SR) of skeletal muscle is called the triad. At the triad, dihydropyridine receptors (DHPR’s) of the T-tubule serve as voltage sensors in excitation-contraction coupling, while ryanodine receptors (RyR’s), the calcium release channels, exist in the membrane of the terminal cisternae of the SR. It is thought that during slow phase depolarization of the T-tubule, a third protein, triadin (95 kDa) transmits electrochemical signals to the SR through direct interaction with both DHPR’s and RyR’s. Another skeletal muscle specific 90 kDa protein has also been localized to the this junction. This protein is phosphorylated by an intrinsic protein kinase in triads suggesting that it may play an important regulatory or structural role in the skeletal muscle triad junction.Specifications
JP45/JSRP1 | |
Polyclonal | |
Unconjugated | |
JSRP1 | |
JP 45, JP45, JP45/JSRP1, JSRP1 | |
Rabbit | |
Antigen Affinity Chromatography | |
RUO | |
126306 | |
-20°C | |
Liquid |
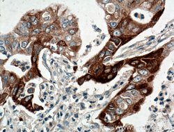
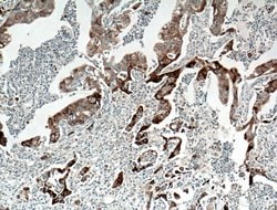
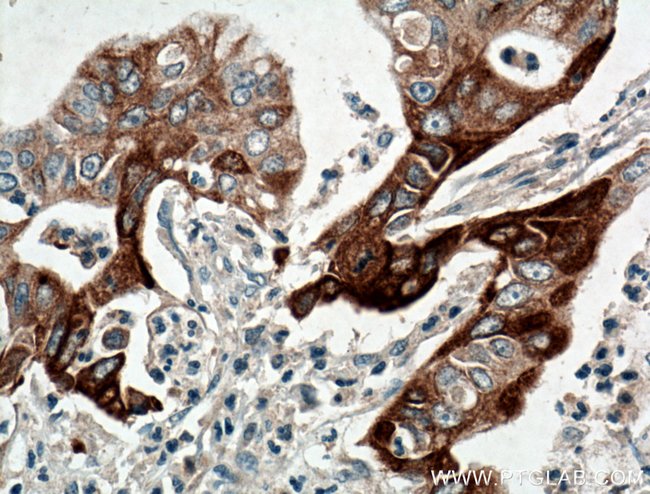
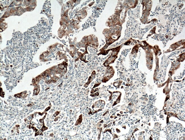
Immunocytochemistry, Immunofluorescence, Immunohistochemistry (Paraffin), Western Blot | |
0.25 mg/mL | |
PBS with 50% glycerol and 0.1% sodium azide; pH 7.3 | |
Q96MG2 | |
JSRP1 | |
JP45/JSRP1 Fusion Protein Ag1300 | |
150 μL | |
Primary | |
Human | |
Antibody | |
IgG |
Product Content Correction
The Fisher Scientific Encompass Program offers items which are not part of our distribution portfolio. These products typically do not have pictures or detailed descriptions. However, we are committed to improving your shopping experience. Please use the form below to provide feedback related to the content on this product.
Product Title
Spot an opportunity for improvement?Share a Content Correction