Learn More
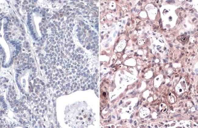
Invitrogen™ K-Ras (G12V Mutant) Recombinant Rabbit Monoclonal Antibody (HL169)

Description
Store as concentrated solution. Centrifuge briefly prior to opening vial. For short-term storage (1-2 weeks), store at 4°C. For long-term storage, aliquot and store at -20°C or below. Avoid multiple freeze-thaw cycles.
Specifications
Specifications
| Antigen | K-Ras (G12V Mutant) |
| Applications | Immunohistochemistry (Paraffin), Western Blot, Immunocytochemistry |
| Classification | Recombinant Monoclonal |
| Clone | HL169 |
| Concentration | 1 mg/mL |
| Conjugate | Unconjugated |
| Formulation | PBS with no preservative |
| Gene | KRAS |
| Gene Accession No. | P01116 |
| Gene Alias | GTPase; CFC2; c-Ki-ras2; C-K-RAS; KI-RAS; K-Ras; KRAS proto-oncogene; KRAS1; KRAS2; K-RAS2A; K-RAS2B; K-RAS4A; K-RAS4B; NS; NS3; RALD; RASK2 |
| Show More |
Safety and Handling
By clicking Submit, you acknowledge that you may be contacted by Fisher Scientific in regards to the feedback you have provided in this form. We will not share your information for any other purposes. All contact information provided shall also be maintained in accordance with our Privacy Policy.