Promotional price valid on web orders only. Your contract pricing may differ. Interested in signing up for a dedicated account number?
Learn More
Learn More
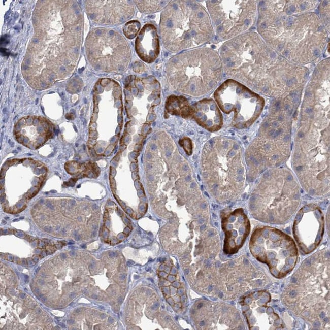
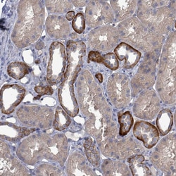
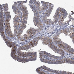
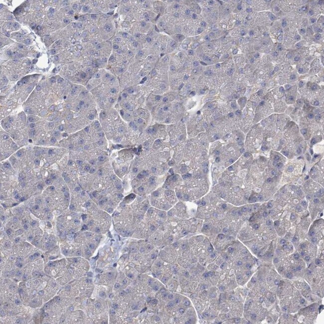
Invitrogen™ K-Ras Polyclonal Antibody

Rabbit Polyclonal Antibody
Supplier: Invitrogen™ PA5111300
Description
Immunogen sequence: EGFLCVFAIN NTKSFEDIHH YREQIKRVKD SEDV.
K-RAS (GTPase KRas) belongs to the Ras oncogene family. Ras proteins bind GDP/GTP and possess intrinsic GTPase activity. It plays an important role in the regulation of cell proliferation and has a role in promoting oncogenic events by inducing transcriptional silencing of tumor suppressor genes in colorectal cancer cells in a ZNF304-dependent manner. Mutations in the gene can result in leukemia acute myelogenous, leukemia juvenile myelomonocytic, Noonan Syndrome, gastric cancer, and cardiofaciocutaneous syndrome 2.
Specifications
| K-Ras | |
| Polyclonal | |
| PBS with 40% glycerol and 0.02% sodium azide; pH 7.2 | |
| P01116 | |
| KRAS | |
| Recombinant Protein corresonding to Human K-Ras. Recombinant protein control fragment (Product #RP-100544). | |
| 100 μL | |
| Primary | |
| Human | |
| Antibody | |
| IgG |
| Immunohistochemistry (Paraffin) | |
| Unconjugated | |
| KRAS | |
| AI929937; cellular c-Ki-ras2; cellular c-Ki-ras2 proto-oncogene; CFC2; c-Ki-ras; c-Kirsten-ras protein; c-Kirsten-ras proto-oncogene; c-K-ras; c-K-ras2 protein; fa04e08; fc14b12; fc23g10; fj89d12; GTPase KRas; GTPase KRas, N-terminally processed; hypothetical protein LOC445289; K RAS; ki-Ras; Kirsten rat sarcoma oncogene 2, expressed; Kirsten rat sarcoma viral (Kras-2) oncogene homolog; Kirsten rat sarcoma viral oncogene; Kirsten rat sarcoma viral oncogene homolog; Kirsten rat sarcoma viral oncogene homologue 2 (active); KRAS; K-ras; K-Ras 2; K-ras p21 protein; KRAS proto-oncogene, GTPase; KRAS1; Kras2; Kras-2; K-RAS2A; K-RAS2B; K-RAS4A; K-RAS4B; NS; NS3; oncogene KRAS2; p21; p21 protein; p21B; p21ras; PR310 c-K-ras oncogene; RALD; ras; ras p21; RASK; RASK2; ras-like protein; transforming protein p21; Unknown; v-Ki-ras2 Kirsten rat sarcoma 2 viral oncogene homolog; v-Ki-ras2 Kirsten rat sarcoma viral oncogene homolog; wu:fa04e08; wu:fc14b12; wu:fc23g10; wu:fj89d12; xRAS2; zgc:85725 | |
| Rabbit | |
| Antigen affinity chromatography | |
| RUO | |
| 3845 | |
| Store at 4°C short term. For long term storage, store at -20°C, avoiding freeze/thaw cycles. | |
| Liquid |
Safety and Handling
WARNING: Cancer - www.P65Warnings.ca.gov
Product Content Correction
Your input is important to us. Please complete this form to provide feedback related to the content on this product.
Product Title
Spot an opportunity for improvement?Share a Content Correction