Promotional price valid on web orders only. Your contract pricing may differ. Interested in signing up for a dedicated account number?
Learn More
Learn More
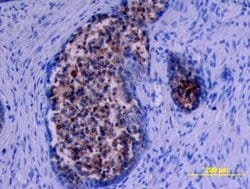
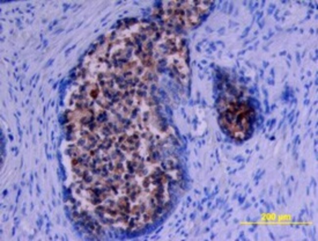
Invitrogen™ Kallikrein 11 Polyclonal Antibody

Goat Polyclonal Antibody
Supplier: Invitrogen™ PA547164
Description
In direct ELISAs, less than 10% cross-reactivity with recombinant human (rh) Kallikrein 1, rhKallikrein 3, rhKallikrein 5, and rhKallikrein 9 is observed. Reconstitute at 0.2 mg/mL in sterile PBS.
Hippostasin, also known as KLK11, is a kallikrein-like serine protease, which has two alternatively spliced isoforms, brain-type and prostate-type. Hippostasin plays a role in the prostate, including reproductive and/or tumorigenic functions. Elevated serum levels of KLK11 were found in 70% of women with ovarian cancer and in 60% of men with prostate cancer. Analysis of the KLK11 biomarker in serum may aid in the diagnosis and monitoring of ovarian and prostatic carcinoma.
Specifications
| Kallikrein 11 | |
| Polyclonal | |
| Unconjugated | |
| Klk11 | |
| 2310015I08Rik; Hippostasin; hK11; kallikrein 11; kallikrein related peptidase 11; kallikrein related-peptidase 11; Kallikrein11; kallikrein-11; Kallikrein-11 inactive chain 1; Kallikrein-11 inactive chain 2; kallikrein-related peptidase 11; KLK11; protease, serine, 20; Prss20; Serine protease 20; TLSP; Trypsin-like protease; UNQ649/PRO1279 | |
| Goat | |
| Antigen Affinity Chromatography | |
| RUO | |
| 11012 | |
| -20°C, Avoid Freeze/Thaw Cycles | |
| Lyophilized |
| Immunohistochemistry (Paraffin), Immunoprecipitation, Western Blot | |
| 0.2 mg/mL | |
| PBS with 5% trehalose and No Preservative | |
| Q9UBX7 | |
| Klk11 | |
| Mouse myeloma cell line NS0-derived recombinant human Kallikrein 11 Ile54-Asn282. | |
| 100 μg | |
| Primary | |
| Human | |
| Antibody | |
| IgG |
Safety and Handling
WARNING: Cancer - www.P65Warnings.ca.gov
Product Content Correction
Your input is important to us. Please complete this form to provide feedback related to the content on this product.
Product Title
Spot an opportunity for improvement?Share a Content Correction