Promotional price valid on web orders only. Your contract pricing may differ. Interested in signing up for a dedicated account number?
Learn More
Learn More
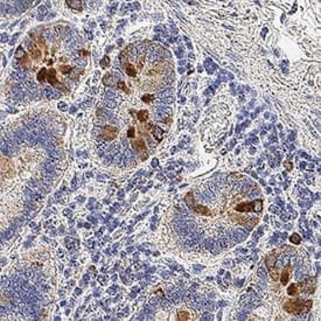
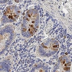
Invitrogen™ Kallikrein 12 Polyclonal Antibody

Sheep Polyclonal Antibody
Supplier: Invitrogen™ PA547445
Description
In direct ELISAs and Western blots, less than 1% cross-reactivity with recombinant human (rh) Kallikrein 8, rhKallikrein 10, rhKallikrein 11, and rhKallikrein 15 is observed. Reconstitute at 0.2 mg/mL in sterile PBS.
Kallikreins are a subgroup of serine proteases having diverse physiological functions. Growing evidence suggests that many kallikreins are implicated in carcinogenesis and some have potential as novel cancer and other disease biomarkers. This gene is one of the fifteen kallikrein subfamily members located in a cluster on chromosome 19. Alternate splicing of this gene results in three transcript variants encoding different isoforms.
Specifications
| Kallikrein 12 | |
| Polyclonal | |
| Unconjugated | |
| KLK12 | |
| 2310008B01Rik; AI324852; kallikrein 12; kallikrein related peptidase 12; kallikrein related-peptidase 12; kallikrein-12; Kallikrein-like protein 5; kallikrein-related peptidase 12; KLK12; KLK-12; KLKL5; KLK-L5; UNQ669/PRO1303 | |
| Sheep | |
| Antigen affinity chromatography | |
| RUO | |
| 43849 | |
| -20°C, Avoid Freeze/Thaw Cycles | |
| Lyophilized |
| Immunohistochemistry, Immunohistochemistry (Paraffin), Immunoprecipitation, Western Blot | |
| 0.2 mg/mL | |
| PBS with 5% trehalose and No Preservative | |
| Q9UKR0 | |
| KLK12 | |
| Mouse myeloma cell line NS0-derived recombinant human Kallikrein 12 Ala18-Asn248. | |
| 100 μg | |
| Primary | |
| Human | |
| Antibody | |
| IgG |
Product Content Correction
Your input is important to us. Please complete this form to provide feedback related to the content on this product.
Product Title
Spot an opportunity for improvement?Share a Content Correction