Promotional price valid on web orders only. Your contract pricing may differ. Interested in signing up for a dedicated account number?
Learn More
Learn More
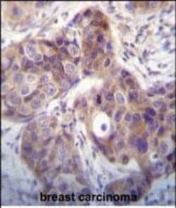
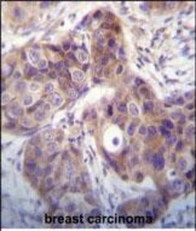
Invitrogen™ Kallikrein 6 Polyclonal Antibody

Rabbit Polyclonal Antibody
Supplier: Invitrogen™ PA535312
Description
Kallikrein 6 Polyclonal Antibody for Western Blot, IHC (P), Flow
Kallikreins, including Kallikrein 6, are a subgroup of serine proteases having diverse physiological functions. Growing evidence suggests that many kallikreins are implicated in carcinogenesis and some have potential as novel cancer and other disease biomarkers. The KLK6 enzyme is regulated by steroid hormones. In tissue culture, the enzyme has been found to generate amyloidogenic fragments from the amyloid precursor protein, suggesting a potential for involvement in Alzheimer's disease.
Specifications
| Kallikrein 6 | |
| Polyclonal | |
| Unconjugated | |
| Klk6 | |
| 0610007D04Rik; AI849898; brain serine protease; BSP; Bssp; Glandular kallikrein K1; hK6; Kal; KAL-B; kallikrein 1; kallikrein 29; kallikrein 6; kallikrein 6 (neurosin); kallikrein 6 (neurosin, zyme); kallikrein 7; kallikrein related peptidase 6; kallikrein related-peptidase 6; kallikrein renal/pancreas/salivary; kallikrein-1; Kallikrein6; Kallikrein-6; Klk1; Klk1b6; Klk29; Klk6; Klk-6; Klk7; MGC9355; mGK-6; MSP; myelencephalon-specific protease; myofibril-bound protease; neurosin; Protease M; protease serine 9 (neurosin); protease, serine, 18; protease, serine, 9; PRSS18; PRSS9; renal kallikrein; Serine protease 18; serine protease 9; SP59; tissue kallikrein-6; true tissue kallikrein; zyme | |
| Rabbit | |
| Ammonium Sulfate Precipitation, Size-exclusion - Dialysis | |
| RUO | |
| 5653 | |
| Store at 4°C short term. For long term storage, store at -20°C, avoiding freeze/thaw cycles. | |
| Liquid |
| Flow Cytometry, Immunohistochemistry (Paraffin), Western Blot | |
| 2 mg/mL | |
| PBS with 0.09% sodium azide; pH 7.4 | |
| Q92876 | |
| Klk6 | |
| KLH conjugated synthetic peptide between 1-30 amino acids from the N-terminal region of human Kallikrein 6. | |
| 400 μL | |
| Primary | |
| Human | |
| Antibody | |
| IgG |
Safety and Handling
WARNING: Cancer - www.P65Warnings.ca.gov
Product Content Correction
Your input is important to us. Please complete this form to provide feedback related to the content on this product.
Product Title
Spot an opportunity for improvement?Share a Content Correction