Promotional price valid on web orders only. Your contract pricing may differ. Interested in signing up for a dedicated account number?
Learn More
Learn More
Invitrogen™ KATNA1 Polyclonal Antibody
Rabbit Polyclonal Antibody
Supplier: Invitrogen™ PA5119240
This item is not returnable.
View return policy
Description
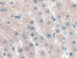
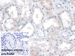
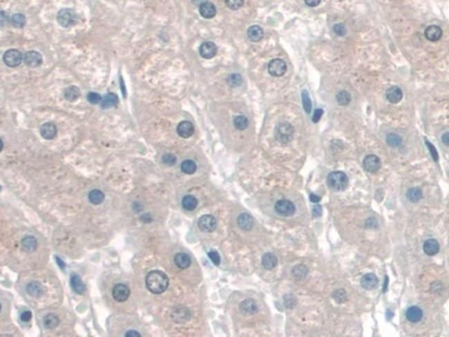
KATNA1 Polyclonal Antibody for Western Blot, IHC (P)
Microtubules, polymers of alpha and beta tubulin subunits, form the mitotic spindle of a dividing cell and help to organize membranous organelles during interphase. Katanin is a heterodimer that consists of a 60 kDa ATPase (p60 subunit A 1) and an 80 kDa accessory protein (p80 subunit B 1). The p60 subunit acts to sever and disassemble microtubules, while the p80 subunit targets the enzyme to the centrosome. This gene encodes the p80 subunit. This protein is a member of the AAA family of ATPases.
Specifications
KATNA1 | |
Polyclonal | |
Unconjugated | |
KATNA1 | |
HAMAP-Rule:MF_03023}; hypothetical protein LOC553631; katanin catalytic subunit A1; katanin p60 (ATPase containing) subunit A 1; katanin p60 (ATPase-containing) subunit A 1; katanin p60 (ATPase-containing) subunit A1; katanin p60 ATPase-containing subunit A1; katanin p60 ATPase-containing subunit A1 {ECO:0000255; Katanin p60 ATPase-containing subunit A1-like protein; katanin p60 subunit A 1; katanin p60 subunit A1; katanin p60 subunit A1 {ECO:0000255; KATNA1; lipotransin; microtubule severing protein; p60 katanin; p60 katanin {ECO:0000255; si:dkey-15j16.1; zgc:110580 | |
Rabbit | |
Antigen affinity chromatography, Protein A | |
RUO | |
100518101, 11104 | |
Store at 4°C short term. For long term storage, store at -20°C, avoiding freeze/thaw cycles. | |
Liquid |
Immunohistochemistry (Paraffin), Western Blot | |
0.5 mg/mL | |
PBS with 50% glycerol and 0.05% ProClin 300; pH 7.4 | |
O75449 | |
KATNA1 | |
Recombinant protein Katanin P60 Subunit A 1. The antigen corresponds to amino acid range 8-229 of the target protein. | |
200 μL | |
Primary | |
Human, Pig | |
Antibody | |
IgG |
Product Content Correction
Your input is important to us. Please complete this form to provide feedback related to the content on this product.
Product Title
Spot an opportunity for improvement?Share a Content Correction