Promotional price valid on web orders only. Your contract pricing may differ. Interested in signing up for a dedicated account number?
Learn More
Learn More
Invitrogen™ KCNE4 Polyclonal Antibody

Rabbit Polyclonal Antibody
Supplier: Invitrogen™ PA552834
Description
Immunogen sequence: EKKSSLLLLY KDEERLWGEA MKPLPVVSGL RSVQVPLMLN MLQESVAPAL SCTLCSMEGD SVSSESSSPD VHLTIQEEGA DDELEETSET PLNESSEGSS EN Highest antigen sequence identity to the following orthologs: Mouse - 94%, Rat - 94%.
Ancillary protein that assembles as a beta subunit with a voltage-gated potassium channel complex of pore-forming alpha subunits. Modulates the gating kinetics and enhances stability of the channel complex. May associate with KCNQ1/KVLTQ1 and inhibit potassium current.
Specifications
| KCNE4 | |
| Polyclonal | |
| Unconjugated | |
| KCNE4 | |
| AW487937; cardiac voltage-gated potassium channel accessory subunit 4; KCNE4; Minimum potassium ion channel-related peptide 3; minK-related peptide 3; MIRP3; potassium channel subunit beta MiRP3; potassium channel, voltage gated subfamily E regulatory beta subunit 4; potassium channel, voltage-gated Isk-related subfamily E regulatory beta subunit 4; potassium voltage-gated channel subfamily E member 4; potassium voltage-gated channel subfamily E regulatory subunit 4; potassium voltage-gated channel, Isk-related family, member 4; potassium voltage-gated channel, Isk-related subfamily, gene 4 | |
| Rabbit | |
| Antigen affinity chromatography | |
| RUO | |
| 23704 | |
| Store at 4°C short term. For long term storage, store at -20°C, avoiding freeze/thaw cycles. | |
| Liquid |
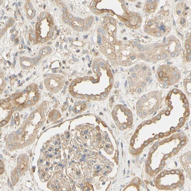
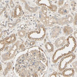
| Immunohistochemistry (Paraffin), Western Blot, Immunocytochemistry | |
| 0.2 mg/mL | |
| PBS with 40% glycerol and 0.02% sodium azide; pH 7.2 | |
| Q8WWG9 | |
| KCNE4 | |
| Recombinant protein corresponding to Human KCNE4. Recombinant protein control fragment (Product #RP-90331). | |
| 100 μL | |
| Primary | |
| Human | |
| Antibody | |
| IgG |
Safety and Handling
WARNING: Cancer - www.P65Warnings.ca.gov
Product Content Correction
Your input is important to us. Please complete this form to provide feedback related to the content on this product.
Product Title
Spot an opportunity for improvement?Share a Content Correction