Promotional price valid on web orders only. Your contract pricing may differ. Interested in signing up for a dedicated account number?
Learn More
Learn More
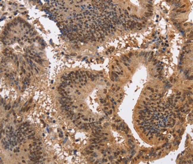
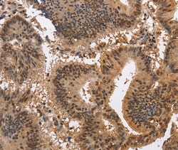
Invitrogen™ KCNG2 Polyclonal Antibody

Rabbit Polyclonal Antibody
Supplier: Invitrogen™ PA550690
Description
The antibody detects endogenous levels of total KCNG2 protein.
Voltage-gated potassium (Kv) channels represent the most complex class of voltage-gated ion channels from both functional and structural standpoints. Their diverse functions include regulating neurotransmitter release, heart rate, insulin secretion, neuronal excitability, epithelial electrolyte transport, smooth muscle contraction, and cell volume. This gene encodes a member of the potassium channel, voltage-gated, subfamily G. This member is a gamma subunit of the voltage-gated potassium channel. The delayed-rectifier type channels containing this subunit may contribute to cardiac action potential repolarization. [provided by RefSeq, Jul 2008].
Specifications
KCNG2 | |
Polyclonal | |
Unconjugated | |
KCNG2 | |
AA591524; cardiac potassium channel subunit; cardiac potassium channel subunit (Kv6.2); KCNF2; Kcng2; Kv6.2; potassium channel, voltage gated modifier subfamily G, member 2; potassium voltage-gated channel modifier subfamily G member 2; potassium voltage-gated channel subfamily G member 2; potassium voltage-gated channel, subfamily G, member 2; voltage-gated potassium channel subunit Kv6.2 | |
Rabbit | |
Antigen affinity chromatography | |
RUO | |
240444, 26251 | |
-20°C | |
Liquid |
Immunohistochemistry (Paraffin), Western Blot | |
2.6 mg/mL | |
PBS with 40% glycerol and 0.05% sodium azide; pH 7.4 | |
Q9UJ96 | |
KCNG2 | |
Synthetic peptide corresponding to a region derived from internal residues of human potassium voltage-gated channel, subfamily G, member 2. | |
100 μL | |
Primary | |
Human, Mouse | |
Antibody | |
IgG |
Product Content Correction
Your input is important to us. Please complete this form to provide feedback related to the content on this product.
Product Title
Spot an opportunity for improvement?Share a Content Correction