Promotional price valid on web orders only. Your contract pricing may differ. Interested in signing up for a dedicated account number?
Learn More
Learn More
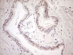
Invitrogen™ KCTD13 Monoclonal Antibody (OTI3B12)

Mouse Monoclonal Antibody
Supplier: Invitrogen™ MA527056
Description
KCTD13 Monoclonal Antibody for Western Blot, IHC (P)
Cytochrome P450 super family proteins are monooxygenases which catalyze multiple biochemical reactions involved in drug metabolism and synthesis of cholesterol, steroids and lipids. CYP4F3, a 60KDa protein, is a novel member of this family. It consists of a conserved heme-binding domain near the C-terminus and catalyzes the u-hydroxylation of LTB4. CYP4F3 is localized in the ER and plays a vital role in the inactivation of LTB4 and controlling inflammation. CYP4F3 exists in two functionally distinct isoforms: CYP4F3A, a neutrophil isoform, is particularly expressed in neutrophils and myeloid cells and catalyzes the microsomal u-hydroxylation of LTB4. It interacts with CD11b and myeloperoxidase on myeloid cells and regulates cellular development in bone marrow. CYP4F3B, a liver isoform, catalyzes the conversion of arachidonic acid to 20-HETE, a potent activator of PKC. Itrole hasbeen implicatedin cell proliferation, vascular tone and natriuresis.
Specifications
KCTD13 | |
Monoclonal | |
1 mg/mL | |
PBS with 1% BSA, 50% glycerol and 0.02% sodium azide; pH 7.3 | |
Q8WZ19 | |
KCTD13 | |
Full length human recombinant protein of KCTD13 produced in E.coli. | |
100 μL | |
Primary | |
Human | |
Antibody | |
IgG1 |
Immunohistochemistry (Paraffin), Western Blot | |
OTI3B12 | |
Unconjugated | |
KCTD13 | |
1500003N18Rik; AV259508; BACURD1; BTB/POZ domain-containing adapter for CUL3-mediated RhoA degradation protein 1; BTB/POZ domain-containing protein KCTD13; CTD-2574D22.4; FKSG86; hBACURD1; Kctd13; PDIP1; PDIP1alpha; Poldip1; Polymerase delta-interacting protein 1; potassium channel tetramerisation domain containing 13; potassium channel tetramerization domain containing 13; PP6832; TNFAIP1-like protein; tumor necrosis factor alpha-inducible protein PDIP1; Unknown (protein for MGC:134443) | |
Mouse | |
Affinity chromatography | |
RUO | |
253980 | |
-20°C, Avoid Freeze/Thaw Cycles | |
Liquid |
Product Content Correction
Your input is important to us. Please complete this form to provide feedback related to the content on this product.
Product Title
Spot an opportunity for improvement?Share a Content Correction