Learn More
Invitrogen™ KEAP1 Polyclonal Antibody

Description
This antibody is predicted to react with porcine based on sequence homology.
Specifications
Specifications
| Antigen | KEAP1 |
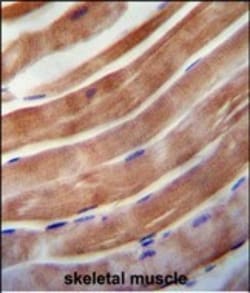
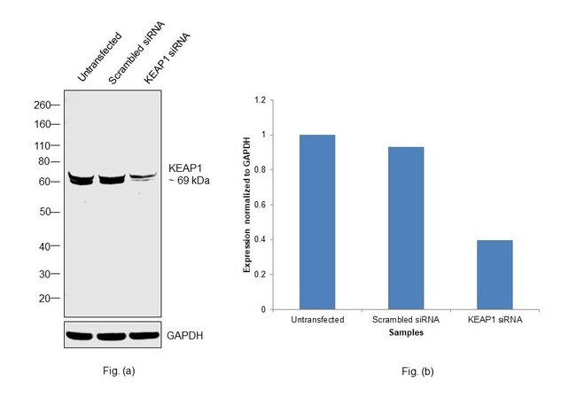
| Applications | Immunohistochemistry (Paraffin), Western Blot, Immunocytochemistry |
| Classification | Polyclonal |
| Concentration | 0.5 mg/mL |
| Conjugate | Unconjugated |
| Formulation | PBS with 0.09% sodium azide; pH 7.4 |
| Gene | Keap1 |
| Gene Accession No. | Q14145 |
| Gene Alias | cytosolic inhibitor of Nrf2; INrf2; Keap1; kelch like ECH associated protein 1; Kelch-like ECH-associated protein 1; kelch-like family member 19; kelch-like protein 19; Kiaa0132; KLHL19; mKIAA0132; NRF2 cytosolic inhibitor; ring canal protein |
| Gene Symbols | Keap1 |
| Show More |
Safety and Handling
By clicking Submit, you acknowledge that you may be contacted by Fisher Scientific in regards to the feedback you have provided in this form. We will not share your information for any other purposes. All contact information provided shall also be maintained in accordance with our Privacy Policy.