Promotional price valid on web orders only. Your contract pricing may differ. Interested in signing up for a dedicated account number?
Learn More
Learn More
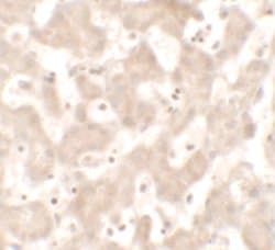
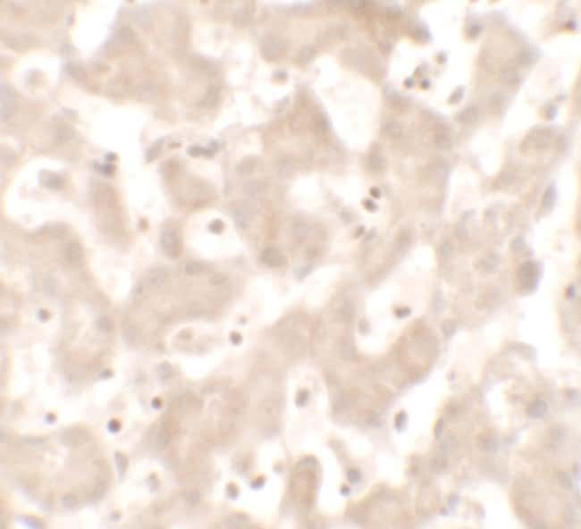
Invitrogen™ KHDC1 Polyclonal Antibody

Rabbit Polyclonal Antibody
Supplier: Invitrogen™ PA534573
Description
A suggested positive control is rat liver tissue lysate. PA5-34573 can be used with blocking peptide PEP-1616.
KHDC1 family members are K-homology (KH) domain-containing RNA binding proteins that are involved in various aspects of RNA metabolism, ranging from transcription to RNA splicing, transportation, translation, and stability. KHDC1 is highly expressed in oocytes and interacts with cytoplasmic polyadenylation element-binding protein 1 (CPEB1), a key translational regulator controlling the polyA length of mRNAs. KHDC1 functions as a global translational repressor and induces apoptosis through an ER-dependent signaling pathway and that the C-terminal putative trans-membrane motif (TMM) is critical for its activities.
Specifications
KHDC1 | |
Polyclonal | |
Unconjugated | |
KHDC1 | |
AU014713; bA257K9.4; C6orf147; C6orf148; C88118; Em:AC019205.8; KH domain containing 1A; KH domain containing 1C; KH homology domain containing 1; KH homology domain containing 1A; KH homology domain-containing protein 1; KH homology domain-containing protein 1A; KHDC1; Khdc1a; Khdc1c; MGC10818; Ndg1; nur77 downstream gene 1 protein; Nur77 downstream protein 1 | |
Rabbit | |
Antigen affinity chromatography | |
RUO | |
368204, 689090, 80759 | |
Maintain refrigerated at 2-8°C for up to 3 months. For long term storage store at -20°C | |
Liquid |
Immunohistochemistry, Western Blot | |
1 mg/mL | |
PBS with 0.02% sodium azide | |
Q3UWR2, Q4VXA5 | |
KHDC1, Khdc1a | |
A 15 amino acid peptide near the amino terminus of human KHDC1. | |
100 μg | |
Primary | |
Human, Mouse, Rat | |
Antibody | |
IgG |
Safety and Handling
WARNING: Cancer - www.P65Warnings.ca.gov
Product Content Correction
Your input is important to us. Please complete this form to provide feedback related to the content on this product.
Product Title
Spot an opportunity for improvement?Share a Content Correction