Promotional price valid on web orders only. Your contract pricing may differ. Interested in signing up for a dedicated account number?
Learn More
Learn More
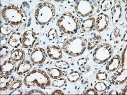
KHK Monoclonal Antibody (OTI4E9), TrueMAB™, OriGene

Mouse Monoclonal Antibody
Supplier: OriGene TA501284S
Description
KHK Monoclonal antibody specifically detects KHK in Human samples. It is validated for Flow Cytometry, Immunocytochemistry, Immunohistochemistry (Paraffin), Western BlotSpecifications
| KHK | |
| Monoclonal | |
| 0.66 mg/mL | |
| PBS with 1% BSA, 50% glycerol and 0.02% sodium azide | |
| P50053 | |
| Mouse | |
| Affinity chromatography | |
| RUO | |
| 3795 | |
| -20° C, Avoid Freeze/Thaw Cycles | |
| IgG1 |
| Flow Cytometry, Immunocytochemistry, Immunohistochemistry (Paraffin), Western Blot | |
| OTI4E9 | |
| Unconjugated | |
| KHK | |
| fructokinase; hepatic fructokinase; KETHPRO; ketohexokinase; ketohexokinase (fructokinase); ketohexokinase isoform a; Khk; testicular tissue protein Li 102 | |
| Full length human recombinant protein of human KHK produced in HEK293T cell. | |
| 30 μL | |
| Primary | |
| Human | |
| Liquid |
Product Content Correction
The Fisher Scientific Encompass Program offers items which are not part of our distribution portfolio. These products typically do not have pictures or detailed descriptions. However, we are committed to improving your shopping experience. Please use the form below to provide feedback related to the content on this product.
Product Title
Spot an opportunity for improvement?Share a Content Correction