Promotional price valid on web orders only. Your contract pricing may differ. Interested in signing up for a dedicated account number?
Learn More
Learn More
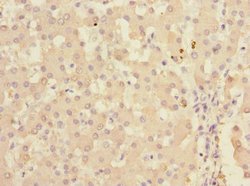
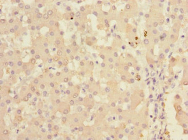
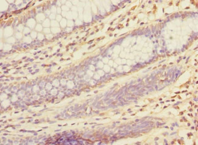
Invitrogen™ KHK Polyclonal Antibody

Rabbit Polyclonal Antibody
Supplier: Invitrogen™ PA5112588
Description
KHK Polyclonal Antibody for Western Blot, IHC (P), IP, ELISA
KHK encodes the gene ketohexokinase that catalyzes conversion of fructose to fructose-1-phosphate. The splice variant presented encodes the highly active form found in liver. renal cortex. and small intestine. while the alternate variant encodes the lowe.
Specifications
| KHK | |
| Polyclonal | |
| Unconjugated | |
| KHK | |
| fructokinase; hepatic fructokinase; KETHPRO; ketohexokinase; ketohexokinase (fructokinase); ketohexokinase isoform a; Khk; testicular tissue protein Li 102 | |
| Rabbit | |
| Antigen affinity chromatography | |
| RUO | |
| 16548, 25659, 3795 | |
| -20°C or -80°C if preferred | |
| Liquid |
| ELISA, Immunohistochemistry (Paraffin), Immunoprecipitation, Western Blot | |
| 0.51 mg/mL | |
| PBS with 50% glycerol and 0.02% sodium azide; pH 7.3 | |
| P50053, P97328, Q02974 | |
| KHK | |
| Recombinant Human Ketohexokinase protein (1-298AA). | |
| 100 μL | |
| Primary | |
| Human, Mouse, Rat | |
| Antibody | |
| IgG |
Product Content Correction
Your input is important to us. Please complete this form to provide feedback related to the content on this product.
Product Title
Spot an opportunity for improvement?Share a Content Correction