Promotional price valid on web orders only. Your contract pricing may differ. Interested in signing up for a dedicated account number?
Learn More
Learn More
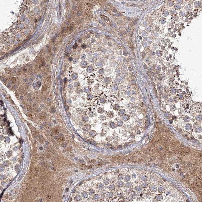
Invitrogen™ KIAA0825 Polyclonal Antibody

Rabbit Polyclonal Antibody
Supplier: Invitrogen™ PA558216
Description
Immunogen sequence: MDWDDEYSHN SFDLHCLLNS FPGDLEFEQI FSDIDEKIEQ NAASIKHCIK EIQSEINKQC PGVQLQTTTD CFEWLTNY Highest antigen sequence identity to the following orthologs: Mouse - 78%, Rat - 71%.
KIAA0825 is a protein coding gene.
Specifications
KIAA0825 | |
Polyclonal | |
Unconjugated | |
KIAA0825 | |
C5orf36; KIAA0825; KIAA0825 ortholog; uncharacterized protein KIAA0825; uncharacterized protein KIAA0825 homolog; Unknown (protein for IMAGE:8066508) | |
Rabbit | |
Antigen affinity chromatography | |
RUO | |
285600 | |
Store at 4°C short term. For long term storage, store at -20°C, avoiding freeze/thaw cycles. | |
Liquid |
Immunohistochemistry (Paraffin) | |
0.2 mg/mL | |
PBS with 40% glycerol and 0.02% sodium azide; pH 7.2 | |
Q8IV33 | |
KIAA0825 | |
Recombinant protein corresponding to Human KIAA0825. Recombinant protein control fragment (Product #RP-102799). | |
100 μL | |
Primary | |
Human | |
Antibody | |
IgG |
Product Content Correction
Your input is important to us. Please complete this form to provide feedback related to the content on this product.
Product Title
Spot an opportunity for improvement?Share a Content Correction