Learn More
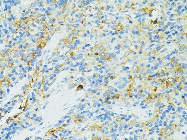
CD19 Antibody, ProSci

Description
Specifications
Specifications
| Antigen | CD19 |
| Applications | Western Blot, Immunohistochemistry |
| Classification | Polyclonal |
| Conjugate | Unconjugated |
| Dilution | WB: 1:500 - 1:2000, IHC: 1:50 - 1:200 |
| Formulation | PBS with 0.02% sodium azide, 50% glycerol, pH7.3. |
| Gene Alias | B-lymphocyte antigen CD19, B-lymphocyte surface antigen B4, Differentiation antigen CD19, T-cell surface antigen Leu-12, CD19, CD19 |
| Host Species | Rabbit |
| Immunogen | Recombinant fusion protein containing a sequence corresponding to amino acids 351-556 of human CD19 (NP_001761.3). |
| Purification Method | Affinity purification |
| Show More |
By clicking Submit, you acknowledge that you may be contacted by Fisher Scientific in regards to the feedback you have provided in this form. We will not share your information for any other purposes. All contact information provided shall also be maintained in accordance with our Privacy Policy.