Promotional price valid on web orders only. Your contract pricing may differ. Interested in signing up for a dedicated account number?
Learn More
Learn More
Invitrogen™ Kir6.2 (KCNJ11) Polyclonal Antibody

Rabbit Polyclonal Antibody
Supplier: Invitrogen™ PA5109324
Description
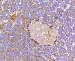
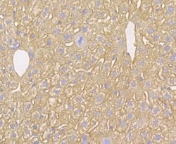
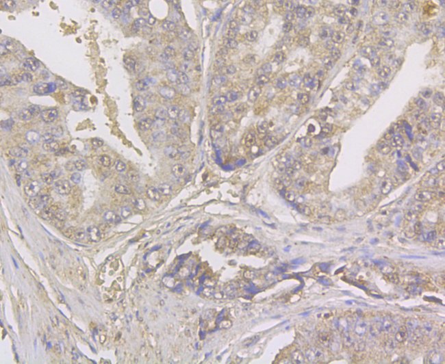
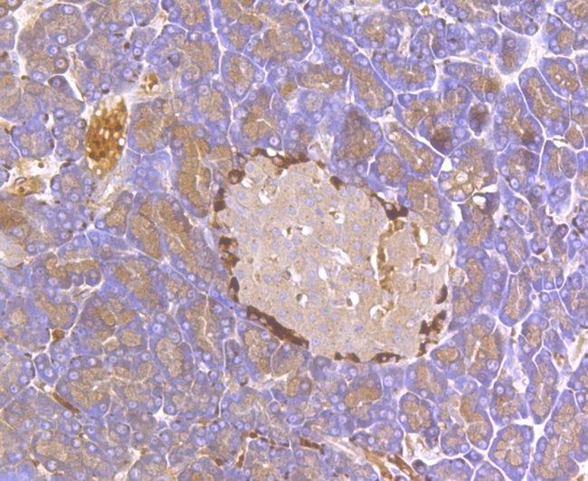
Positive Control: Human liver tissue, mouse liver tissue, Lovo, mouse pancreas tissue, human prostate cancer tissue.
This receptor is controlled by G proteins. Inward rectifier potassium channels are characterized by a greater tendency to allow potassium to flow into the cell rather than out of it. Their voltage dependence is regulated by the concentration of extracellular potassium; as external potassium is raised, the voltage range of the channel opening shifts to more positive voltages. The inward rectification is mainly due to the blockage of outward current by internal magnesium. Can be blocked by extracellular barium. Subunit of ATP-sensitive potassium channels (KATP). Can form cardiac and smooth muscle-type KATP channels with ABCC9. KCNJ11 forms the channel pore while ABCC9 is required for activation and regulation.
Specifications
| Kir6.2 (KCNJ11) | |
| Polyclonal | |
| Unconjugated | |
| Kcnj11 | |
| AI842722; ATP-sensitive inward rectifier potassium channel 11; AW491124; beta-cell inward rectifier subunit; BIR; HHF2; IKATP; Inward rectifier K(+) channel Kir6.2; inwardly rectifying potassium channel KIR6.2; IRK11; KATP; KATP channel; KCNJ11; Kir6.2; mBIR; MGC133230; MODY13; PHHI; potassium channel inwardly rectifing subfamily J member 11; potassium channel, inwardly rectifying subfamily J member 11; potassium channel, inwardly rectifying subfamily J, member 11; potassium inwardly rectifying channel, subfamily J, member 11; potassium inwardly-rectifying channel subfamily J member 11; potassium inwardly-rectifying channel, subfamily J, member 11; potassium voltage-gated channel subfamily J member 11; TNDM3 | |
| Rabbit | |
| Affinity Chromatography | |
| RUO | |
| 3767 | |
| -20°C, Avoid Freeze/Thaw Cycles, store in dark | |
| Liquid |
| Immunohistochemistry (Paraffin), Western Blot, Immunocytochemistry | |
| 1 mg/mL | |
| PBS with 0.2% BSA, 50% glycerol and 0.05% sodium azide; pH 7.4 | |
| Q14654 | |
| Kcnj11 | |
| Recombinant protein within Human Kir62 aa 184-323. | |
| 100 μL | |
| Primary | |
| Human | |
| Antibody | |
| IgG |
Safety and Handling
WARNING: Cancer - www.P65Warnings.ca.gov
Product Content Correction
Your input is important to us. Please complete this form to provide feedback related to the content on this product.
Product Title
Spot an opportunity for improvement?Share a Content Correction