Learn More
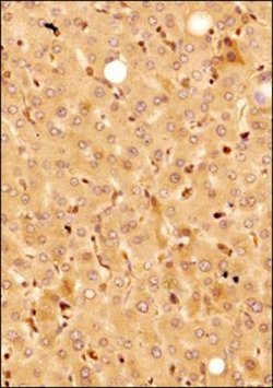
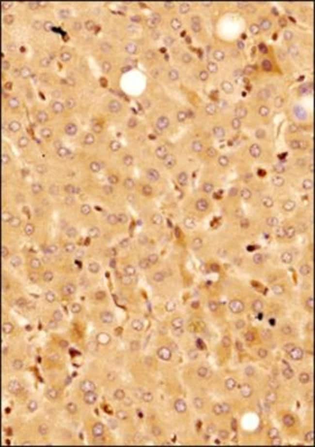
Invitrogen™ KLF15 Polyclonal Antibody

Description
KLF15 Polyclonal Antibody for Western Blot, IHC (P), ICC/IF
Specifications
Specifications
| Antigen | KLF15 |
| Applications | Immunohistochemistry (Paraffin), Western Blot, Immunocytochemistry |
| Classification | Polyclonal |
| Concentration | 1.0 mg/mL |
| Conjugate | Unconjugated |
| Formulation | PBS with 0.05% sodium azide |
| Gene | KLF15 |
| Gene Accession No. | Q9EPW2, Q9UIH9 |
| Gene Alias | 1810013I09Rik; AV048136; AW494632; Cardiovascular Krueppel-like factor; CKLF; DKFZp779M1320; Kidney-enriched krueppel-like factor; kidney-enriched Kruppel-like factor; KKLF; KKLF protein; Klf15; KLF15; transcription factor; Krueppel-like factor 15; Kruppel like factor 15; Kruppel-like factor 15 |
| Gene Symbols | KLF15 |
| Show More |
By clicking Submit, you acknowledge that you may be contacted by Fisher Scientific in regards to the feedback you have provided in this form. We will not share your information for any other purposes. All contact information provided shall also be maintained in accordance with our Privacy Policy.