Promotional price valid on web orders only. Your contract pricing may differ. Interested in signing up for a dedicated account number?
Learn More
Learn More
Invitrogen™ KLHL24 Polyclonal Antibody

Rabbit Polyclonal Antibody
Supplier: Invitrogen™ PA525162
Description
This antibody is predicted to react with mouse and rat based on sequence homology.
KLHL24 is specifically reduces kainate receptor-mediated currents in hippocampal neurons, most probably by modulating channel properties.
Specifications
| KLHL24 | |
| Polyclonal | |
| Unconjugated | |
| KLHL24 | |
| 1110046J11Rik; 4930429H24Rik; 6530402O20Rik; C85082; DRE1; kainate receptor interacting protein for GluR6; kainate receptor-interacting protein for GluR6; kelch like family member 24; kelch-like 24; kelch-like family member 24; kelch-like protein 24; Klhl24; KRIP6; Protein DRE1 | |
| Rabbit | |
| Antigen Affinity Chromatography, Protein A | |
| RUO | |
| 54800 | |
| Store at 4°C short term. For long term storage, store at -20°C, avoiding freeze/thaw cycles. | |
| Liquid |
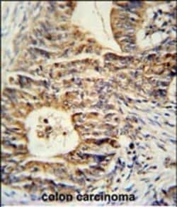
| Immunohistochemistry (Paraffin), Western Blot | |
| 0.5 mg/mL | |
| PBS with 0.09% sodium azide; pH 7.4 | |
| Q6TFL4 | |
| KLHL24 | |
| KLH conjugated synthetic peptide between 182-211 amino acids from the central region of human KLHL24. | |
| 400 μL | |
| Primary | |
| Human | |
| Antibody | |
| IgG |
Product Content Correction
Your input is important to us. Please complete this form to provide feedback related to the content on this product.
Product Title
Spot an opportunity for improvement?Share a Content Correction