Promotional price valid on web orders only. Your contract pricing may differ. Interested in signing up for a dedicated account number?
Learn More
Learn More
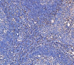
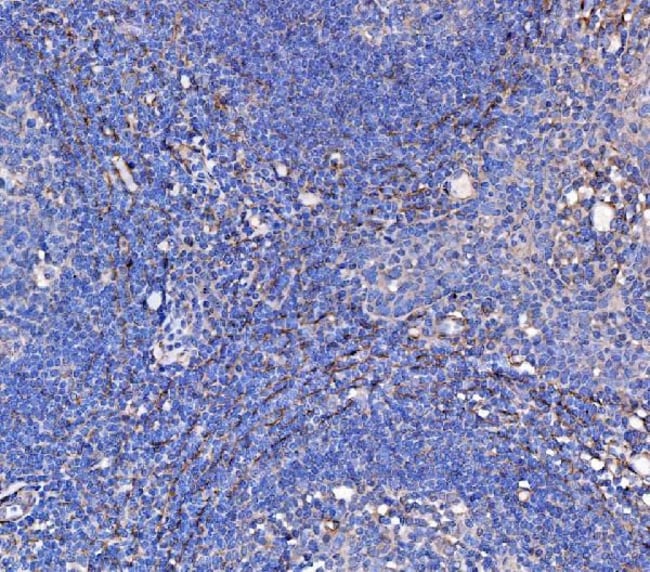
KLRG1 Polyclonal Antibody, Invitrogen™
Rabbit Polyclonal Antibody
Supplier: Thermo Scientific PA5143872

Description
Adding 0.2 mL of distilled water will yield a concentration of 500 μg/mL.
KLRG1 (Killer cell lectin-like receptor G1, MAFA, 2F1-Ag) is a homodimeric member of the lectin-like type 2 transmembrane receptor family whose members contain characteristic immunoreceptor tyrosine-based inhibitory motifs (ITIMs) in their cytoplasmic domains. These ITIMs interact with the SH2 domains of protein phosphatases such as SHP-1. KLRG1 is an inhibitory receptor that is expressed on natural killer (NK) cells and certain T cells. NK cells are involved in the lysis of tumor cells and virus-infected cells, and mediate humoral and cell-mediated immune responses.
Specifications
KLRG1 | |
Polyclonal | |
Unconjugated | |
Klrg1 | |
2F1; 2F1-Ag; CLEC15A; C-type lectin domain family 15 member A; C-type lectin domain family 15, member A; ITIM-containing receptor MAFA-L; killer cell lectin like receptor G1; killer cell lectin-like receptor subfamily G member 1; killer cell lectin-like receptor subfamily G, member 1; Klrg1; Mafa; MAFA-2F1; MAFAL; MAFA-L; MAFA-LIKE; MAFA-like receptor; Mast cell function-associated antigen; mast cell function-associated antigen (ITIM-containing); mast cell function-associated antigen 2F1; natural killer cell receptor | |
Rabbit | |
Antigen affinity chromatography | |
RUO | |
10219 | |
Store at 4°C short term. For long term storage, store at -20°C, avoiding freeze/thaw cycles. | |
IgG |
ELISA, Immunohistochemistry (Paraffin) | |
500 μg/mL | |
PBS with 4MG trehalose and no preservative | |
Q96E93 | |
Klrg1 | |
E.coli-derived human KLRG1 recombinant protein (Position: E11-F195). | |
100 μg | |
Primary | |
Human | |
Lyophilized |
Product Content Correction
Your input is important to us. Please complete this form to provide feedback related to the content on this product.
Product Title
Spot an opportunity for improvement?Share a Content Correction