Promotional price valid on web orders only. Your contract pricing may differ. Interested in signing up for a dedicated account number?
Learn More
Learn More
Invitrogen™ KRT74 Polyclonal Antibody

Rabbit Polyclonal Antibody
Supplier: Invitrogen™ PA561778
Description
Immunogen sequence: ISVISSSSYS YHHPSSAGVD LGASAVAGSS GSTQSGQTKT TEARGGDLKD TQGKSTPASI PARKATR Highest antigen sequence identity to the following orthologs: Mouse - 39%, Rat - 36%.
Keratins are intermediate filament proteins responsible for the structural integrity of epithelial cells and are subdivided into epithelial keratins and hair keratins. This protein belongs to a family of keratins that are specifically expressed in the inner root sheath of hair follicles.
Specifications
| KRT74 | |
| Polyclonal | |
| Unconjugated | |
| KRT74 | |
| ADWH; CK-74; cytokeratin-74; HTSS2; HYPT3; K5C; K6IRS4; K74; KB37; keratin 5c; keratin 6 irs4; keratin 74; keratin 74, type II; keratin, type II cytoskeletal 74; Keratin-5c; keratin-74; KRT5C; KRT6IRS4; KRT74; Type II inner root sheath-specific keratin-K6irs4; type-II keratin Kb37 | |
| Rabbit | |
| Antigen Affinity Chromatography | |
| RUO | |
| 121391 | |
| Store at 4°C short term. For long term storage, store at -20°C, avoiding freeze/thaw cycles. | |
| Liquid |
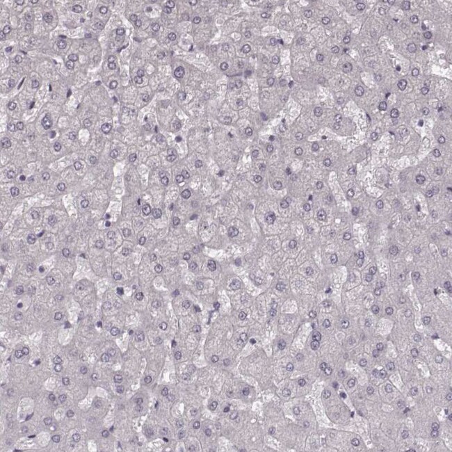
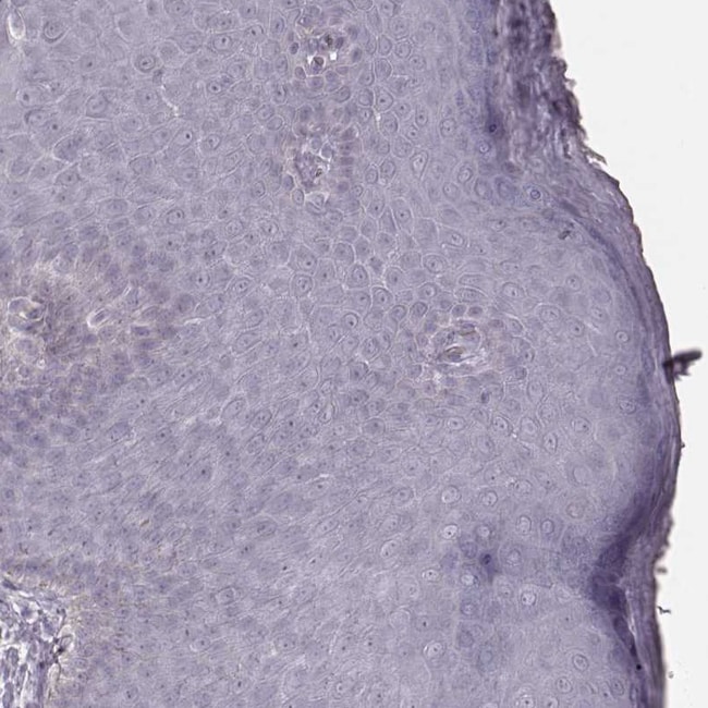
| Immunohistochemistry (Paraffin) | |
| 0.4 mg/mL | |
| PBS with 40% glycerol and 0.02% sodium azide; pH 7.2 | |
| Q7RTS7 | |
| KRT74 | |
| Recombinant protein corresponding to Human KRT74. | |
| 100 μL | |
| Primary | |
| Human | |
| Antibody | |
| IgG |
Safety and Handling
WARNING: Cancer - www.P65Warnings.ca.gov
Product Content Correction
Your input is important to us. Please complete this form to provide feedback related to the content on this product.
Product Title
Spot an opportunity for improvement?Share a Content Correction