Promotional price valid on web orders only. Your contract pricing may differ. Interested in signing up for a dedicated account number?
Learn More
Learn More
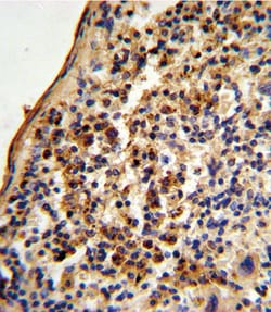
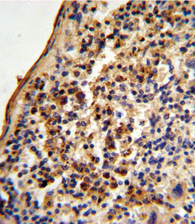
Invitrogen™ Ku70 Polyclonal Antibody

Rabbit Polyclonal Antibody
Supplier: Invitrogen™ PA525915
Description
Ku70 Polyclonal Antibody for Western Blot, IHC (P), Flow
XRCC6 is a nuclear complex consisting of two subunits with molecular masses of approximately 70 and 80 kDa. The complex functions as a single-stranded DNA-dependent ATP-dependent helicase. The complex may be involved in the repair of nonhomologous DNA ends such as that required for double-strand break repair, transposition, and V(D)J recombination. High levels of autoantibodies to p70 and p80 have been found in some patients with systemic lupus erythematosus.
Specifications
Ku70 | |
Polyclonal | |
Unconjugated | |
XRCC6 | |
5'-deoxyribose-5-phosphate lyase Ku70; 5'-dRP lyase Ku70; 5'-dRP/AP lyase Ku70; 70 kDa subunit of Ku antigen; 70kDa; ATP-dependent DNA helicase 2 subunit 1; ATP-dependent DNA helicase II 70 kDa subunit; ATP-dependent DNA helicase II, 70 kDa subunit; CT; CTA-216E10.7; CTC box binding factor 75 kDa subunit; CTC box-binding factor 75 kDa subunit; CTC75; CTCBF; DNA repair protein XRCC6; G22p1; Ku autoantigen p70 subunit; ku autoantigen protein p70 homolog; Ku autoantigen, 70kDa; Ku p70; Ku70; Ku70 DNA-binding component of DNA-dependent proteinkinase complex (thyroid autoantigen 70 kDa); Kup70; Lupus Ku autoantigen protein p70; ML8; OTTHUMP00000028581; thyroid autoantigen; thyroid autoantigen 70 kDa; thyroid autoantigen 70kD (Ku antigen); thyroid autoantigen 70kDa (Ku antigen); Thyroid-lupus autoantigen; thyroid-lupus autoantigen p70; TLAA; XELAEV_18023498mg; X-ray repair complementing defective repair in Chinese hamster cells 6; X-ray repair complementing defective repair in Chinese hamster cells 6 L homeolog; X-ray repair cross complementing 6; X-ray repair cross-complementing protein 6; xrcc6; xrcc6.L | |
Rabbit | |
Ammonium sulfate precipitation, Size-exclusion - Dialysis | |
RUO | |
14375, 2547 | |
Store at 4°C short term. For long term storage, store at -20°C, avoiding freeze/thaw cycles. | |
Liquid |
Flow Cytometry, Immunohistochemistry (Paraffin), Western Blot | |
2 mg/mL | |
PBS with 0.09% sodium azide; pH 7.4 | |
P12956, P23475 | |
XRCC6 | |
KLH conjugated synthetic peptide between 432-461 amino acids from the central region of human Ku70. | |
400 μL | |
Primary | |
Human, Mouse | |
Antibody | |
IgG |
Product Content Correction
Your input is important to us. Please complete this form to provide feedback related to the content on this product.
Product Title
Spot an opportunity for improvement?Share a Content Correction