Promotional price valid on web orders only. Your contract pricing may differ. Interested in signing up for a dedicated account number?
Learn More
Learn More
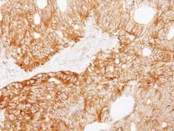
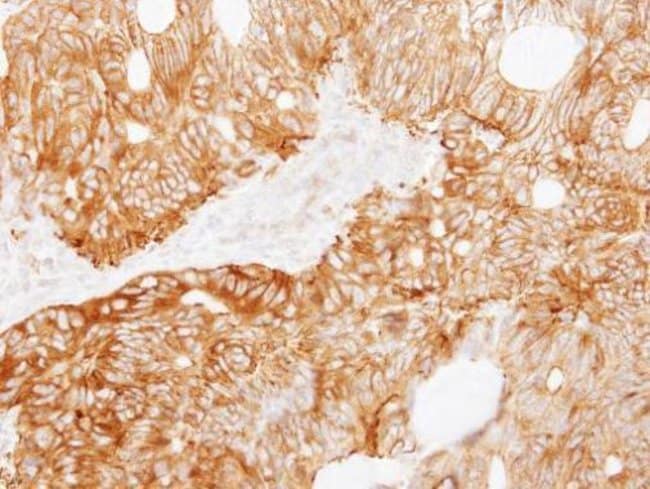
Invitrogen™ LAD1 Polyclonal Antibody

Rabbit Polyclonal Antibody
Supplier: Invitrogen™ PA522344
Description
Recommended positive controls: Raji. Store product as a concentrated solution. Centrifuge briefly prior to opening the vial.
Anchoring filament protein which is a component of the basement membrane zone.
Specifications
| LAD1 | |
| Polyclonal | |
| Unconjugated | |
| LAD1 | |
| LAD; Lad1; Lad-1; LADA; ladinin; ladinin 1; ladinin-1; linear IgA bullous dermatosis antigen; Linear IgA disease antigen; Linear IgA disease antigen homolog | |
| Rabbit | |
| Antigen affinity chromatography | |
| RUO | |
| 3898 | |
| Store at 4°C short term. For long term storage, store at -20°C, avoiding freeze/thaw cycles. | |
| Liquid |
| Immunohistochemistry (Paraffin), Western Blot, Immunocytochemistry | |
| 1 mg/mL | |
| 0.1M tris glycine with 20% glycerol and 0.01% thimerosal; pH 7 | |
| O00515 | |
| LAD1 | |
| Recombinant protein encompassing a sequence within the C-terminus region of human Ladinin 1. The exact sequence is proprietary. | |
| 100 μL | |
| Primary | |
| Human | |
| Antibody | |
| IgG |
Safety and Handling
WARNING: Cancer - www.P65Warnings.ca.gov
Product Content Correction
Your input is important to us. Please complete this form to provide feedback related to the content on this product.
Product Title
Spot an opportunity for improvement?Share a Content Correction