Learn More
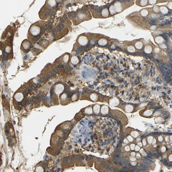
Invitrogen™ LASP1 Polyclonal Antibody

Description
Immunogen sequence: ADTPENLRLK QQSELQSQVR YKEEFEKNKG KGFSVVADTP ELQRIKKTQD QISNIKYHEE FEKSRMGPSG GEGMEPERRD SQDGSSYRRP LEQQQPHHIP TSAPVYQQPQ QQPVAQSYGG YKE Highest antigen sequence identity to the following orthologs: Mouse - 91%, Rat - 92%.
Specifications
Specifications
| Antigen | LASP1 |
| Applications | Immunohistochemistry (Paraffin), Western Blot, Immunocytochemistry |
| Classification | Polyclonal |
| Concentration | 0.1 mg/mL |
| Conjugate | Unconjugated |
| Formulation | PBS with 40% glycerol and 0.02% sodium azide; pH 7.2 |
| Gene | Lasp1 |
| Gene Accession No. | Q14847, Q61792, Q99MZ8 |
| Gene Alias | AA408629; Def-4; Lasp1; LASP-1; lasp1 {ECO:0000312; LIM and SH3 domain protein 1; LIM and SH3 protein 1; metastatic lymph node gene 50 protein; MLN 50; MLN50; RGD:68408}; SH3P6; Tg(11Col1a1)NG; Tg(Col1a1-lacZ)1Ngma |
| Gene Symbols | Lasp1 |
| Show More |
By clicking Submit, you acknowledge that you may be contacted by Fisher Scientific in regards to the feedback you have provided in this form. We will not share your information for any other purposes. All contact information provided shall also be maintained in accordance with our Privacy Policy.