Promotional price valid on web orders only. Your contract pricing may differ. Interested in signing up for a dedicated account number?
Learn More
Learn More
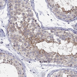
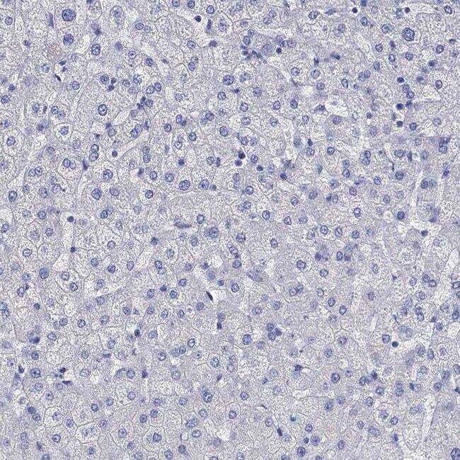
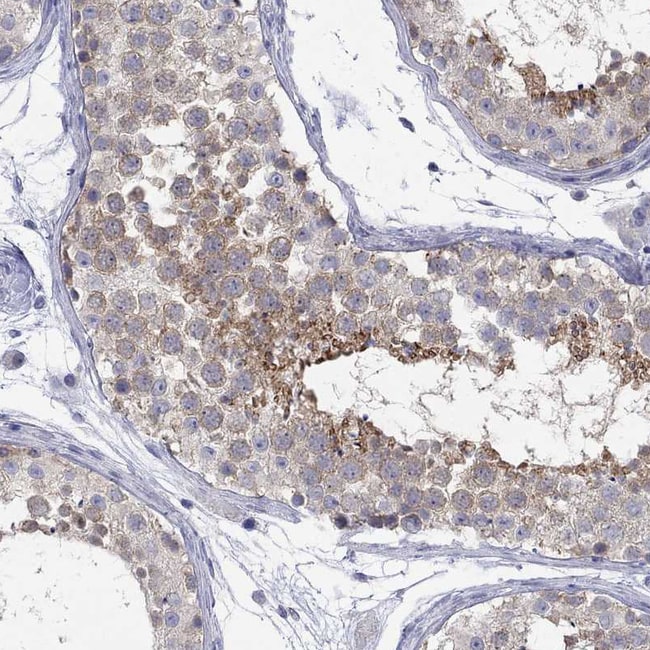
Invitrogen™ Lass1 Polyclonal Antibody

Rabbit Polyclonal Antibody
Supplier: Invitrogen™ PA5111220
Description
Immunogen sequence: VLTGQVHELK DLREYDTAEA QSLKPSKAEK PLRNGLVKDK RF.
This gene encodes a member of the bone morphogenetic protein family and the TGF-beta superfamily. This group of proteins is characterized by a polybasic proteolytic processing site that is cleaved to produce a mature protein containing seven conserved cysteine residues. Members of this family are regulators of cell growth and differentiation in both embryonic and adult tissues. Studies in yeast suggest that the encoded protein is involved in aging. This protein is transcribed from a monocistronic mRNA as well as a bicistronic mRNA, which also encodes growth differentiation factor 1.
Specifications
| Lass1 | |
| Polyclonal | |
| PBS with 40% glycerol and 0.02% sodium azide; pH 7.2 | |
| P27544 | |
| CERS1 | |
| Recombinant Protein corresonding to Human Lass1. Recombinant protein control fragment (Product #RP-100588). | |
| 100 μL | |
| Primary | |
| Human | |
| Antibody | |
| IgG |
| Immunohistochemistry (Paraffin) | |
| Unconjugated | |
| CERS1 | |
| Ceramide synthase 1; CERS1; EPM8; LAG1; LAG1 homolog, ceramide synthase 1; LAG1 longevity assurance homolog 1; LASS1; longevity assurance (LAG1, S. cerevisiae) homolog 1; longevity assurance gene 1 protein homolog 1; longevity assurance homolog 1; longevity assurance-like protein 1; MGC90349; protein UOG-1; UOG1; upstream of GDF1 | |
| Rabbit | |
| Antigen Affinity Chromatography | |
| RUO | |
| 10715 | |
| Store at 4°C short term. For long term storage, store at -20°C, avoiding freeze/thaw cycles. | |
| Liquid |
Safety and Handling
WARNING: Cancer - www.P65Warnings.ca.gov
Product Content Correction
Your input is important to us. Please complete this form to provide feedback related to the content on this product.
Product Title
Spot an opportunity for improvement?Share a Content Correction