Promotional price valid on web orders only. Your contract pricing may differ. Interested in signing up for a dedicated account number?
Learn More
Learn More
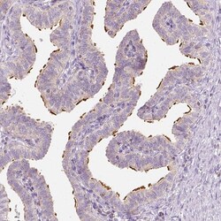
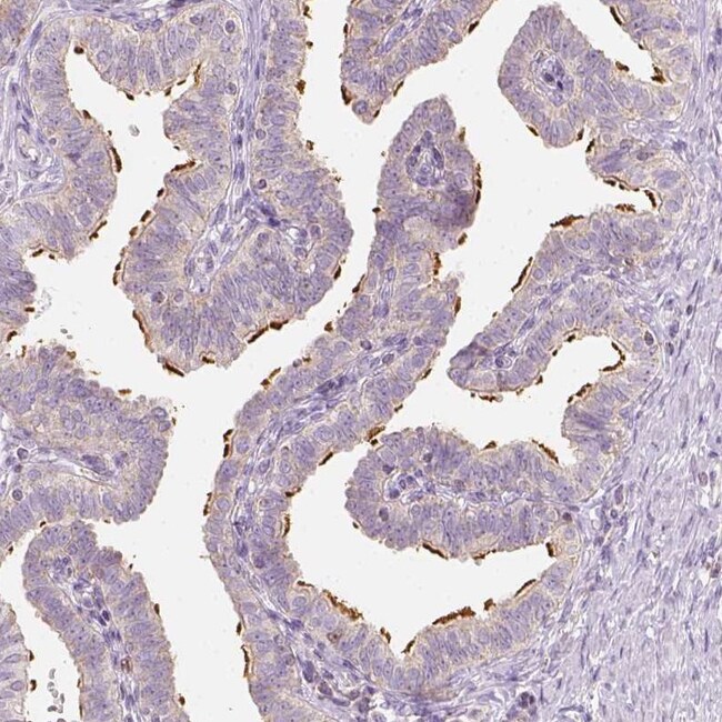
Invitrogen™ LCA5 Polyclonal Antibody

Rabbit Polyclonal Antibody
Supplier: Invitrogen™ PA556050
Description
Immunogen sequence: NSGNVRSPAS PNEFAFGSYV PSFAKTSERS NPFSQKSSFL DFQRNSMEKL SKDGVDLITR KEKKANLMEQ LFGASG Highest antigen sequence identity to the following orthologs: Mouse - 67%, Rat - 66%.
Might be involved in minus end-directed microtubule transport.
Specifications
LCA5 | |
Polyclonal | |
Unconjugated | |
LCA5 | |
4930431B11Rik; 5730406O13Rik; AV274874; C6orf152; LCA5; LCA5, lebercilin; Leber congenital amaurosis 5; Leber congenital amaurosis 5 (human); leber congenital amaurosis 5 protein; Leber congenital amaurosis 5 protein homolog; lebercilin; ORF64; RGD1308555 | |
Rabbit | |
Antigen affinity chromatography | |
RUO | |
167691 | |
Store at 4°C short term. For long term storage, store at -20°C, avoiding freeze/thaw cycles. | |
Liquid |
Immunohistochemistry (Paraffin) | |
0.05 mg/mL | |
PBS with 40% glycerol and 0.02% sodium azide; pH 7.2 | |
Q86VQ0 | |
LCA5 | |
Recombinant protein corresponding to Human LCA5. Recombinant protein control fragment (Product #RP-104092). | |
100 μL | |
Primary | |
Human | |
Antibody | |
IgG |
Product Content Correction
Your input is important to us. Please complete this form to provide feedback related to the content on this product.
Product Title
Spot an opportunity for improvement?Share a Content Correction