Promotional price valid on web orders only. Your contract pricing may differ. Interested in signing up for a dedicated account number?
Learn More

Invitrogen™ LEPR Polyclonal Antibody

Rabbit Polyclonal Antibody

$209.50 - $511.50

Specifications

Antigen LEPR
Concentration 0.5 mg/mL
Content And Storage Store at 4°C short term. For long term storage, store at -20°C, avoiding freeze/thaw cycles.
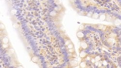
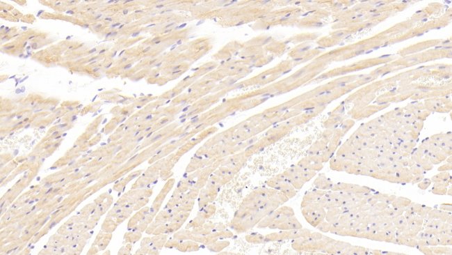
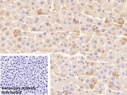
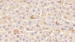
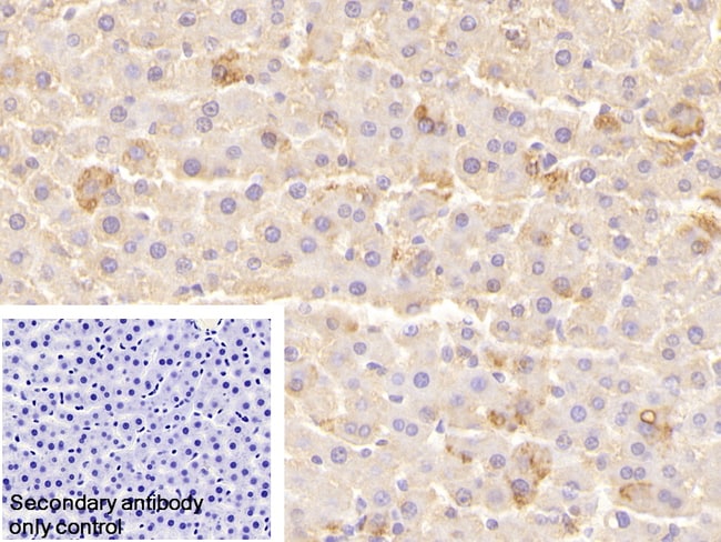
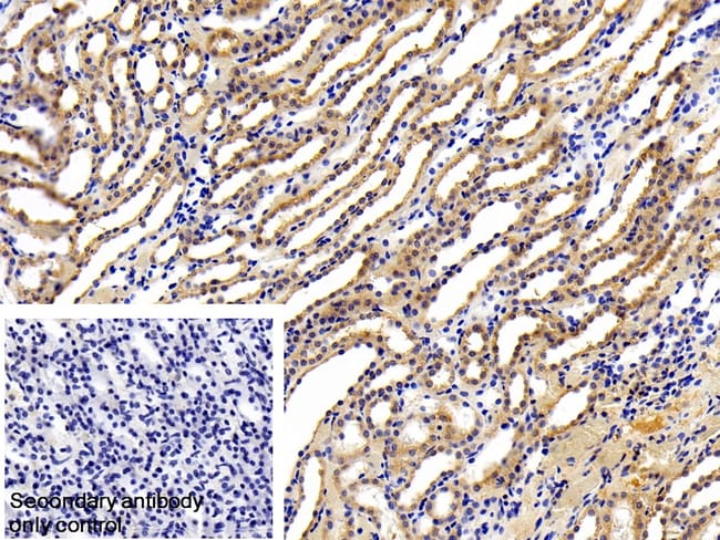
Applications Immunohistochemistry (Paraffin), Western Blot, Immunocytochemistry
Classification Polyclonal
View More Specs

Products 2
Catalog Number Mfr. No. Quantity Price Quantity & Availability  
Catalog Number Mfr. No. Quantity Price Quantity & Availability  
PIPA5119253
View Documents
Invitrogen™
PA5119253
200 μL
Each for $511.50
Only null left
Add to Cart
 
PIPA5121799
View Documents
Invitrogen™
PA5121799
20 μL
Each for $209.50
Only null left
Add to Cart
 
Description

Description

LEPR Polyclonal Antibody for Western Blot, ICC/IF, IHC (P)

The leptin (OB-R) receptor is a member of the cytokine receptor superfamily which plays an important role in mammalian body weight homeostasis and energy balance. Ligand-induced activation of the OB-R by the adipose tissue-secreted hormone, leptin, appears to activate downstream signaling events through the Janus kinase (JAK)/signal transducer and activator of transcription (STAT) pathway. Leptin can homo-dimerize OB-R extracellular domains while downstream signaling events are initiated upon homo-dimerization of OB-R intracellular domains. Several isoforms of the OB-R which differ in length and signaling capabilities have been reported. RNA transcripts encoding the OB-R long form have been found in the choroid plexus and in the hypothalamus which has been proposed as a control center for satiety and energy expenditure. Mutations in either the mouse OB-R (db) or leptin (ob) genes have been shown to result in early-onset obesity. Metabolic abnormalities attributable to these genotypes include hypercorticoidemia, hyperinsulinemia and insulin resistance, hyperglycemia, altered CNS activity, reduced metabolic rate of brown adipose tissue, and a large increase in white adipose tissue.
Specifications

Specifications

LEPR
Store at 4°C short term. For long term storage, store at -20°C, avoiding freeze/thaw cycles.
Polyclonal
Liquid
IgG
Rat
Lepr
B219; CD antigen CD295; CD295; CD295 antigen; db; diabetes; Fa; HuB219; HuB219.2; LEPR; LEP-R; Leprb; LEPRD; LEPROT; leptin receptor; Leptin receptor (fatty); leptin receptor gene-related protein; Modb1; OB receptor; obese-like; obl; Obr; OB-R; OB-RGRP
Lepr
Primary
Antigen affinity chromatography, Protein A
0.5 mg/mL
Immunohistochemistry (Paraffin), Western Blot, Immunocytochemistry
Unconjugated
Rabbit
RUO
PBS with 50% glycerol and 0.05% ProClin 300; pH 7.4
Q62959
24536
Recombinant protein Leptin Receptor. The antigen corresponds to amino acid range 238-375 of the target protein.
Antibody
Videos
SDS
Documents

Documents

Product Certifications
Product Content Correction

Your input is important to us. Please complete this form to provide feedback related to the content on this product.

Product Title

By clicking Submit, you acknowledge that you may be contacted by Fisher Scientific in regards to the feedback you have provided in this form. We will not share your information for any other purposes. All contact information provided shall also be maintained in accordance with our Privacy Policy.

Your feedback has been submitted: Thank you for helping us improve our website.