Learn More
Invitrogen™ Leptin Polyclonal Antibody, Biotin, PeproTech®, Invitrogen™
Rabbit Polyclonal Antibody
Supplier: Invitrogen™ 500P86BT500UG

Description
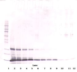
AA Sequence of recombinant protein: MVPIQKVQDD TKTLIKTIVT RINDISHTQS VSSKQKVTGL DFIPGLHPIL TLSKMDQTLA VYQQILTSMP SRNVIQISND LENLRDLLHV LAFSKSCHLP WASGLETLDS LGGVLEASGY STEVVALSRL QGSLQDMLWQ LDLSPGC. Preparation: Produced from sera of rabbits immunized with highly pure Recombinant Human Leptin. Anti-Human Leptin-specific antibody was purified by affinity chromatography and then biotinylated. Sandwich ELISA: To detect Human Leptin by sandwich ELISA (using 100 μL/well antibody solution) a concentration of 0.25-1.0 μg/mL of this antibody is required. This biotinylated polyclonal antibody, in conjunction with PeproTech Polyclonal Anti-Human Leptin (500-P86) as a capture antibody, allows the detection of at least 0.2-0.4 ng/well of Recombinant Human Leptin. Western Blot: To detect hLeptin by Western Blot analysis this antibody can be used at a concentration of 0.1-0.2 μg/mL. Used in conjunction with compatible secondary reagents the detection limit for Recombinant hLeptin is 1.5-3.0 ng/lane, under either reducing or non-reducing conditions. 500-P86BT-1MG will be provided as 2 x 500 μg
Leptin is a 167 amino acid long protein hormone with important effects in regulating body weight, metabolism and reproductive function. Leptin is approximately 16 kDa in mass and encoded by the obese (ob) gene. Leptin is expressed predominantly by adipocytes, which fits with the idea that body weight is sensed as the total mass of fat in the body. Smaller amounts of leptin are also secreted by cells in the epithelium of the stomach and in the placenta. Leptin receptors are highly expressed in areas of the hypothalamus known to be important in regulating body weight, as well as in T lymphocytes and vascular endothelial cells. Leptin's effects on body weight are mediated through effects on hypothalamic centers that control feeding behavior and hunger, body temperature and energy expenditure. Leptin is involved in regulating food intake, energy expenditure, and adiposity through hypothalamic leptin receptors. Leptin promotes hematopoiesis, angiogenesis, wound healing, inflammation, immune responses, influences pubertal development and fetal growth. Studies have investigated the role of leptin in obesity, anorexia nervosa, insulin resistance, and hypertension. Leptin also has thermogenic actions and regulates enzymes of fatty acid oxidation. Severe hereditary obesity in rodents and humans can be caused by defects in leptin production.
Specifications
Leptin | |
Polyclonal | |
Biotin | |
Lep | |
CD295 antigen; H-Leptin; HuB219; Lep; LEPD; LEP-R; Leptin; leptin (murine obesity homolog); leptin (obesity homolog, mouse); leptin precursor; Method: conceptual translation supplied by author.; OB; obese; obese protein; obese, mouse, homolog of; obesity; obesity factor; obesity protein; OB-R; OBS; truncated leptin | |
Rabbit | |
Antigen affinity chromatography | |
RUO | |
3952 | |
-20°C | |
Lyophilized |
ELISA, Western Blot | |
0.1-1.0 mg/mL | |
PBS with no preservative | |
P41159 | |
Lep | |
E.coli-derived Recombinant Human Leptin. | |
500 μg | |
Primary | |
Human | |
Antibody | |
IgG |
The Fisher Scientific Encompass Program offers items which are not part of our distribution portfolio. These products typically do not have pictures or detailed descriptions. However, we are committed to improving your shopping experience. Please use the form below to provide feedback related to the content on this product.