Promotional price valid on web orders only. Your contract pricing may differ. Interested in signing up for a dedicated account number?
Learn More
Learn More
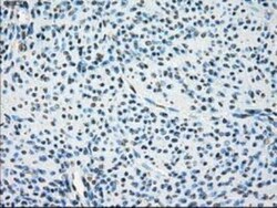
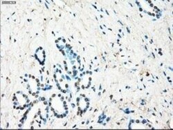
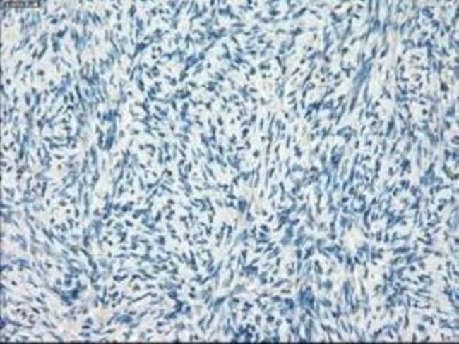
Leukotriene A4 Hydrolase/LTA4H Antibody (OTI1E9), Novus Biologicals™

Mouse Monoclonal Antibody
Supplier: Novus Biologicals NBP147829
Description
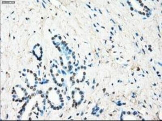
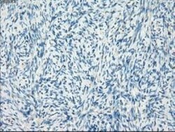
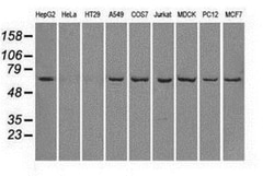
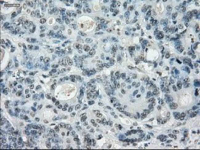
Leukotriene A4 Hydrolase/LTA4H Monoclonal specifically detects Leukotriene A4 Hydrolase/LTA4H in Human, Mouse, Rat, Canine, Monkey samples. It is validated for Western Blot, Immunohistochemistry, Immunoprecipitation, Immunohistochemistry-Paraffin.Specifications
| Leukotriene A4 Hydrolase/LTA4H | |
| Monoclonal | |
| 0.7 mg/mL | |
| Western Blot 1:2000, Immunohistochemistry 1:10-1:500, Immunoprecipitation 2-4ug/mg, Immunohistochemistry-Paraffin 1:50 | |
| LTA4H | |
| Full-length protein expressed in 293T cell transfected with human LTA4H expression vector | |
| Affinity Purified | |
| RUO | |
| Primary | |
| This antibody is specific for Homo sapiens leukotriene A4 hydrolase (LTA4H). | |
| Store at -20°C. Avoid freeze-thaw cycles. |
| Western Blot, Immunohistochemistry, Immunoprecipitation, Immunohistochemistry (Paraffin) | |
| OTI1E9 | |
| Unconjugated | |
| EC 3.3.2.6, Leukotriene A(4) hydrolase, leukotriene A4 hydrolase, leukotriene A-4 hydrolase, LTA4, LTA-4 hydrolase | |
| Mouse | |
| 69.3 kDa | |
| 0.1 mL | |
| Lipid and Metabolism | |
| 4048 | |
| Human, Mouse, Rat, Canine, Monkey | |
| IgG2b |
Product Content Correction
Your input is important to us. Please complete this form to provide feedback related to the content on this product.
Product Title
For Research Use Only
Spot an opportunity for improvement?Share a Content Correction