Promotional price valid on web orders only. Your contract pricing may differ. Interested in signing up for a dedicated account number?
Learn More
Learn More
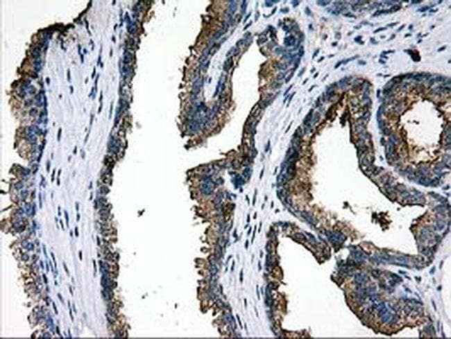
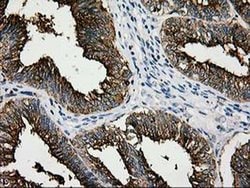
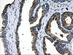
LGALS3BP Monoclonal Antibody (OTI3D6), TrueMAB™, OriGene

Mouse Monoclonal Antibody
Supplier: OriGene TA503500S


Description
LGALS3BP Monoclonal antibody specifically detects LGALS3BP in Human samples. It is validated for Flow Cytometry, Immunocytochemistry, Immunohistochemistry (Paraffin), Western BlotSpecifications
LGALS3BP | |
Monoclonal | |
1 mg/mL | |
PBS with 1% BSA, 50% glycerol and 0.02% sodium azide | |
P13051 | |
Mouse | |
Affinity chromatography | |
RUO | |
7374 | |
-20° C, Avoid Freeze/Thaw Cycles | |
IgG2a |
Flow Cytometry, Immunocytochemistry, Immunohistochemistry (Paraffin), Western Blot | |
OTI3D6 | |
Unconjugated | |
Ung | |
90K; basement membrane autoantigen p105; BTBD17B; CyCAP; Cyp-C-associated protein; galectin 3 binding protein; galectin-3-binding protein; gp90; L3 antigen; Lectin; lectin galactoside-binding soluble 3 binding protein; lectin galactoside-binding soluble 3-binding protein; lectin, galactoside binding soluble 3 binding protein; lectin, galactoside-binding, soluble, 3 binding protein; Lgals3bp; M2BP; mac-2 BP; mac-2-binding protein; MAC2BP; MAC-2BP; MAC-2-BP; mama; peptidylprolyl isomerase C-associated protein; Ppicap; Protein 90K; Protein MAMA; serum protein 90K; similar to Galectin-3 binding protein precursor (Lectin galactoside-binding soluble 3 binding protein) (Mac-2 binding protein) (Mac-2 BP) (MAC2BP) (Tumor-associated antigen 90K); TANGO10B; transport and golgi organization 10 homolog B; tumor-associated antigen 90K | |
Full length human recombinant protein of human UNG produced in HEK293T cell. | |
30 μL | |
Primary | |
Human | |
Liquid |
Product Content Correction
The Fisher Scientific Encompass Program offers items which are not part of our distribution portfolio. These products typically do not have pictures or detailed descriptions. However, we are committed to improving your shopping experience. Please use the form below to provide feedback related to the content on this product.
Product Title
Spot an opportunity for improvement?Share a Content Correction