Promotional price valid on web orders only. Your contract pricing may differ. Interested in signing up for a dedicated account number?
Learn More
Learn More
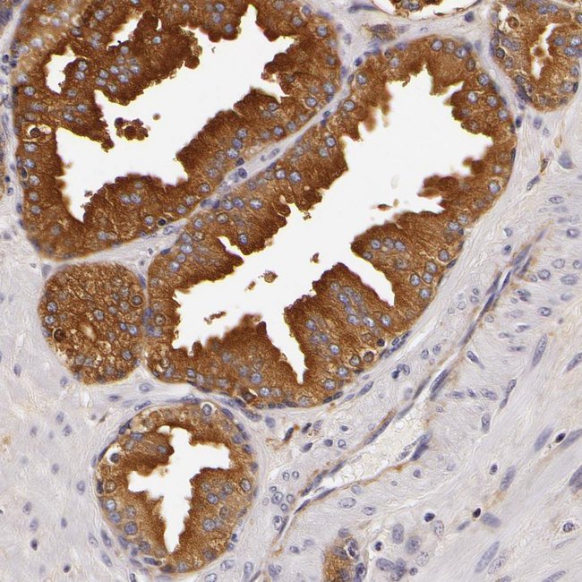
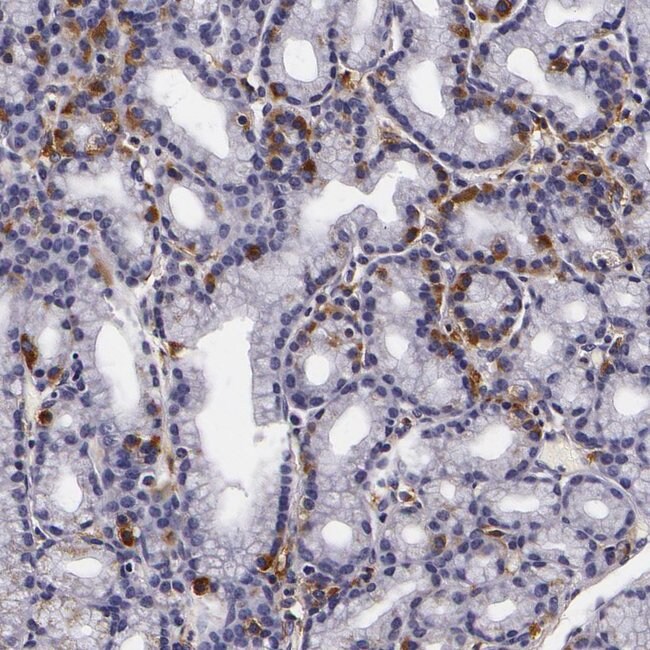
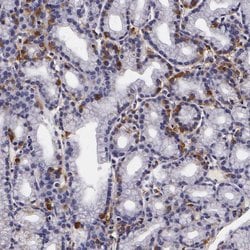
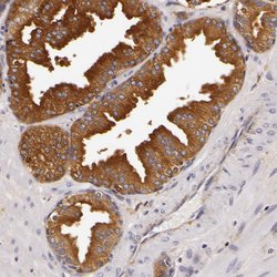
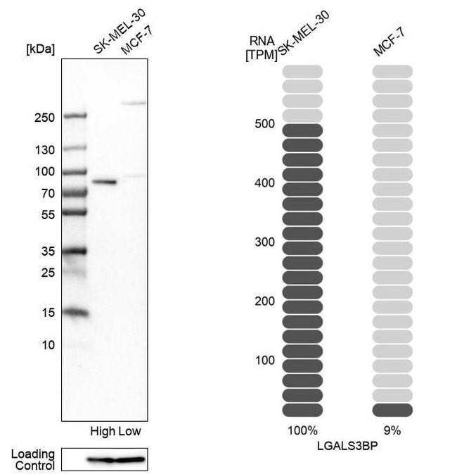
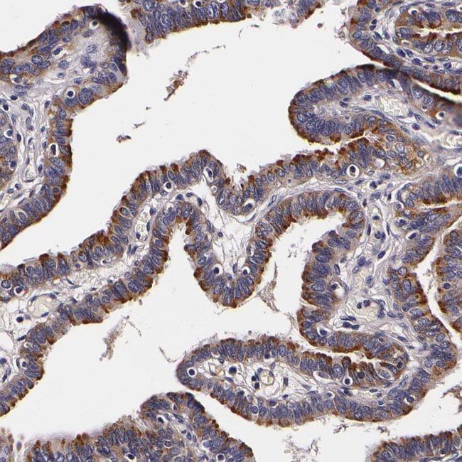
Invitrogen™ LGALS3BP Polyclonal Antibody

Rabbit Polyclonal Antibody
Supplier: Invitrogen™ PA551411
Description
Immunogen sequence: RHERDAGVVC TNETRSTHTL DLSRELSEAL GQIFDSQRGC DLSISVNVQG EDALGFCGHT VILTANLEAQ ALWKEPGSNV TMSVDAECVP MVRDLLRYFY SRRIDITLSS VKCFHKLAS Highest antigen sequence identity to the following orthologs: Mouse - 67%, Rat - 66%.
The galectins are a family of beta-galactoside-binding proteins implicated in modulating cell-cell and cell-matrix interactions. LGALS3BP has been found elevated in the serum of patients with cancer and in those infected by the human immunodeficiency virus (HIV). It appears to be implicated in immune response associated with natural killer (NK) and lymphokine-activated killer (LAK) cell cytotoxicity. Using fluorescence in situ hybridization the full length 90K cDNA has been localized to chromosome 17q25. The native protein binds specifically to a human macrophage-associated lectin known as Mac-2 and also binds galectin 1.
Specifications
LGALS3BP | |
Polyclonal | |
Unconjugated | |
LGALS3BP | |
90K; basement membrane autoantigen p105; BTBD17B; CyCAP; Cyp-C-associated protein; galectin 3 binding protein; galectin-3-binding protein; gp90; L3 antigen; Lectin; lectin galactoside-binding soluble 3 binding protein; lectin galactoside-binding soluble 3-binding protein; lectin, galactoside binding soluble 3 binding protein; lectin, galactoside-binding, soluble, 3 binding protein; Lgals3bp; M2BP; mac-2 BP; mac-2-binding protein; MAC2BP; MAC-2BP; MAC-2-BP; mama; peptidylprolyl isomerase C-associated protein; Ppicap; Protein 90K; Protein MAMA; serum protein 90K; similar to Galectin-3 binding protein precursor (Lectin galactoside-binding soluble 3 binding protein) (Mac-2 binding protein) (Mac-2 BP) (MAC2BP) (Tumor-associated antigen 90K); TANGO10B; transport and golgi organization 10 homolog B; tumor-associated antigen 90K | |
Rabbit | |
Antigen Affinity Chromatography | |
RUO | |
3959 | |
Store at 4°C short term. For long term storage, store at -20°C, avoiding freeze/thaw cycles. | |
Liquid |
Immunohistochemistry (Paraffin), Western Blot | |
0.08 mg/mL | |
PBS with 40% glycerol and 0.02% sodium azide; pH 7.2 | |
Q08380 | |
LGALS3BP | |
Recombinant protein corresponding to Human LGALS3BP. Recombinant protein control fragment (Product #RP-93676). | |
100 μL | |
Primary | |
Human | |
Antibody | |
IgG |
Safety and Handling
WARNING: Cancer - www.P65Warnings.ca.gov
Product Content Correction
Your input is important to us. Please complete this form to provide feedback related to the content on this product.
Product Title
Spot an opportunity for improvement?Share a Content Correction