Promotional price valid on web orders only. Your contract pricing may differ. Interested in signing up for a dedicated account number?
Learn More
Learn More
Invitrogen™ LHPP Polyclonal Antibody

Rabbit Polyclonal Antibody
Supplier: Invitrogen™ PA552661
Description
Immunogen sequence: SGVLYDSGAG GGTAIAGSVE AVARLKRSRL KVRFCTNESQ KSRAELVGQL QRLGFDISEQ EVTAPAPAAC QILKERGLRP YLLIHDGVRS EFDQIDTSNP NCVVIADAGE Highest antigen sequence identity to the following orthologs: Mouse - 85%, Rat - 90%.
LHPP is a protein coding gene.
Specifications
LHPP | |
Polyclonal | |
Unconjugated | |
Lhpp | |
2310007H09Rik; HDHD2B; hLHPP; LHPP; Phospholysine phosphohistidine inorganic pyrophosphate phosphatase | |
Rabbit | |
Antigen Affinity Chromatography | |
RUO | |
64077 | |
Store at 4°C short term. For long term storage, store at -20°C, avoiding freeze/thaw cycles. | |
Liquid |
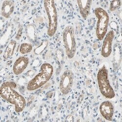
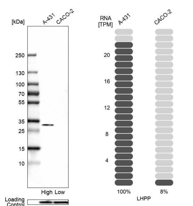
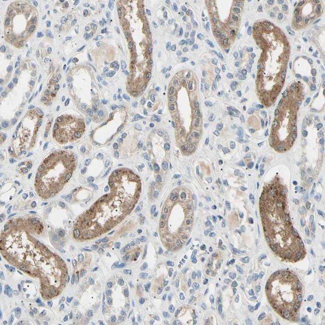
Immunohistochemistry (Paraffin), Western Blot | |
0.2 mg/mL | |
PBS with 40% glycerol and 0.02% sodium azide; pH 7.2 | |
Q9H008 | |
Lhpp | |
Recombinant protein corresponding to Human LHPP. Recombinant protein control fragment (Product #RP-89602). | |
100 μL | |
Primary | |
Human | |
Antibody | |
IgG |
Safety and Handling
WARNING: Cancer - www.P65Warnings.ca.gov
Product Content Correction
Your input is important to us. Please complete this form to provide feedback related to the content on this product.
Product Title
Spot an opportunity for improvement?Share a Content Correction