Learn More
Description
Specifications
Specifications
| Antigen | LIF |
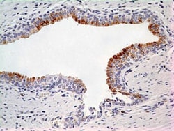
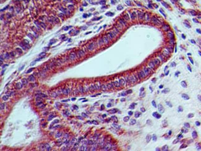
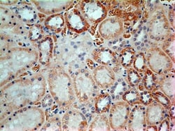
| Applications | Western Blot, Immunohistochemistry (Paraffin) |
| Classification | Monoclonal |
| Clone | 39N7D10 |
| Concentration | 1.0 mg/mL |
| Conjugate | Unconjugated |
| Dilution | Western Blot 3-5ug/ml∼, Immunohistochemistry, Immunocytochemistry/Immunofluorescence reported in scientific literature (PMID 32719388), Immunohistochemistry-Paraffin 5 ug/mL |
| Gene Accession No. | P09056 |
| Gene Alias | CDF, D factor, DIA, differentiation inhibitory activity, differentiation stimulating factor, Differentiation-stimulating factor, Emfilermin, HILDAcholinergic differentiation factor, leukemia inhibitory factor, leukemia inhibitory factor (cholinergic differentiation factor), Melanoma-derived LPL inhibitor, MLPLI |
| Gene Symbols | LIF |
| Show More |
For Research Use Only
By clicking Submit, you acknowledge that you may be contacted by Fisher Scientific in regards to the feedback you have provided in this form. We will not share your information for any other purposes. All contact information provided shall also be maintained in accordance with our Privacy Policy.
